Vai trò của chẩn đoán hình ảnh trong viêm phổi

PGS.TS.BS. TẠ BÁ THẮNG
Bộ môn -Trung tâm Nội hô hấp, Bệnh viện Quân y 103, Học viện Quân y
(Trích từ Tạp chí Lao và bệnh phổi Việt Nam số 37, tháng 6 năm 2025)
Xem và tải PDF tại đây
1 ĐẶT VẤN ĐỀ
Viêm phổi là nguyên nhân hàng đầu gây nhập viện, tử vong và gây ra chi phí chăm sóc sức khỏe đáng kể. Tại châu Âu, tỷ lệ viêm phổi dao động từ 20,6/10000 đến 79,9/10000 người tùy theo từng nước. Tại Hoa Kì, tỷ lệ viêm phổi ở người trên 65 tuổi từ 24,8-106/10000 người/năm [1-4]. Theo báo cáo Gánh nặng bệnh tật toàn cầu năm 2021, có 2,1 triệu người tử vong vì viêm phổi trong năm, trong đó trẻ em dưới 5 tuổi và người lớn trên 70 tuổi gặp nhiều nhất với hơn 500.000 và 1 triệu [2].
Chẩn đoán hình ảnh có vai trò rất quan trọng trong viêm phổi: giúp xác định chẩn đoán, đánh giá mức độ và biến chứng, gợi ý căn nguyên vi sinh gây bệnh và theo dõi đáp ứng điều trị [1,5].
Các kỹ thuật chẩn đoán hình ảnh được sử dụng trong viêm phổi bao gồm chụp X-quang ngực quy ước, cắt lớp vi tính ngực (computed tomography - CT), siêu âm (lung ultrasound - LUS) và chụp cộng hưởng từ (magnetic resonance imaging - MRI), trong đó X-quang quang ngực quy ước là phổ biến nhất. Gần đây vai trò của siêu âm ngực trong viêm phổi được đề cao: có độ nhạy và độ đặc hiệu cao X-quang ngực; thực hiện được nhiều lần và dễ ràng; không nhiễm xạ; thực hiện được nhiều tư thế người bệnh khác nhau [5, 6].
Mục tiêu của bài là tổng quan về vai trò của các kỹ thuật chẩn đoán hình ảnh trong viêm phổi, giúp nâng cao kiến thức và kỹ năng của các bác sỹ trong chẩn đoán và điều trị viêm phổi trên thực hành lâm sàng.
2 VAI TRÒ CỦA X-QUANG VÀ CẮT LỚP VI TÍNH NGỰC TRONG VIÊM PHỔI
2.1 Các hình ảnh tổn thương của viêm phổi trên X-quang và CT ngực
Các dấu hiệu của viêm phổi trên X-quang và CT ngực bao gồm: hình ảnh đông đặc phế nang hoặc thùy (consolidation), nốt quanh phế quản (Peribronchial nodules), kính mờ (ground glass), nốt phân bố ngẫu nhiên (random nodules). Các tổn thương thường phối hợp với nhau trên bệnh nhân [5].
Tổn thương đông đặc chiếm ưu thế (viêm phổi phế nang/ thùy): khi đông đặc toàn bộ thùy phổi, được gọi là "viêm phổi thùy". Sự đông đặc này được hình thành do sự lan truyền của tình trạng viêm qua các lỗ Kohn hoặc các ống Lambert ở ngoại vi của phổi. Tuy nhiên quá trình đông đặc không theo phân thùy ở giai đoạn đầu của bệnh [6]. Hầu hết các viêm phổi do vi khuẩn như Streptococcus pneumoniae và Klebsiella pneumoniae xuất hiện đông đặc chiếm ưu thế.

Tổn thương các nốt quanh phế quản chiếm ưu thế (Viêm phế quản - phổi): Tổn thương đặc trưng bởi các nốt trung tâm tiểu thùy có hoặc không có các đông đặc quanh phế quản [4,5]. Các đông đặc này có thể được hình thành do sự mở rộng và hợp nhất của các nốt quanh phế quản. Tổn thương thường đi kèm dày thành phế quản. Khi các nốt trung tâm tiểu thùy chiếm ưu thế, đặc biệt các tiểu phế quản và các vùng quanh tiểu phế quản bị ảnh hưởng chủ yếu, được gọi là viêm tiểu phế quản nhiễm trùng [4]. Tổn thương kiểu này thường gặp trong viêm phổi do Hemophilus influenzae, Mycoplasma pneumoniae, Chlamydophila pneumoniae, virus, lao và Non tuberculosis mycobacteria (NTM) [4].

A: X-quang ngực thấy các nốt, lưới mờ và đông đặc khư trú ở vùng giữa và dưới phổi trái (mũi tên). Rốn phổi trái to;
B: Trên CT thấy các nốt trung tâm tiểu thùy trên nền kính mờ ở thùy dưới phổi trái (mũi tên). Dày thành phế quản (đầu mũi tên)
Tổn thương kính mờ ưu thế: Các hình ảnh kính mờ do tình trạng lấp đầy phế nang không hoàn toàn do các tế bào viêm hoặc dịch tiết, phù phổi thứ phát do nhiễm trùng hoặc thâm nhiễm tổ chức kẽ của các tế bào viêm (viêm phổi kẽ). Tổn thương kính mờ ưu thế thường gặp trong viêm phổi do các virus, Mycoplasma pneumoniae và Pneumocystis jirovecii [4]. Viêm phổi phế nang đang hồi phục cũng có thể xuất hiện tổn thương kính mờ ưu thế vì quá trình thông khí phế nang được phục hồi khi viêm phổi thuyên giảm.
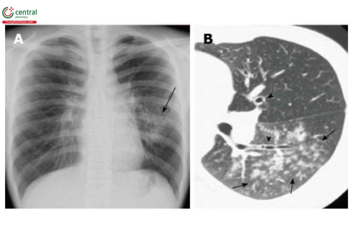
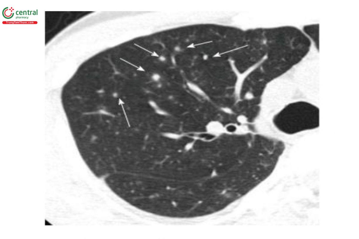
Tổn thương các nốt phân bố ngẫu nhiên chiếm ưu thế: Các nốt phân bố ngẫu nhiên có thể được tạo ra do sự lây truyền vi sinh qua đường máu (lao kê, nghẽn mạch nhiễm trùng) hoặc u hạt nhiễm trùng (lao, NTM, nấm). Một số viêm phổi do virus như Varicella-Zoster có tổn thương đặc trưng là các nốt phân bố ngẫu nhiên [1, 4].

Chú thích: Các nốt mờ nhỏ, thuần nhất, rải rác không liên quan đến các cấu trúc trung tâm tiểu thùy (Mũi tên).
Theo cấu trúc giải phẫu, các hình thái tổn thương trong viêm phổi bao gồm [1, 4, 5]:
- Tổn thương phế nang: Hình ảnh các đám mờ ở nhu mô, có hang hoặc không có hang, thường có hình ảnh phế quản hơi.
- Tổn thương tổ chức kẽ: Hình ảnh kính mờ, lưới hoặc nốt mờ hoặc nốt, lưới kết hợp.
2.2 Vai trò của X-quang và CT ngực trong viêm phổi
Chẩn đoán xác định viêm phổi: X-quang và CT ngực có vai trò trong xác định chẩn đoán viêm phổi khi có hình ảnh tổn thương đông đặc do viêm (hình ảnh thâm nhiễm, đông đặc mới - new infiltrate, consolidation).
X-quang có giá trị chẩn đoán viêm phổi thấp hơn CT ngực. Theo Makhnevich A. và cs (2019) khi phân tích hồi cứu 2411 lượt bệnh nhân khám ngoại trú cho thấy X-quang có độ nhạy 51,9%; độ đặc hiệu 71,3%; giá trị dự báo dương là 59,4% và giá trị dự báo âm là 64,5% trong chẩn đoán viêm phổi. Các tác giả khuyến cáo kết quả X-quang ngực không chắc chắn để chẩn đoán viêm phổi và khi kết quả âm tính cũng không loại trừ viêm phổi [18]. Trong nghiên cứu tổng quan hệ thống của Sistani SS và cs (2021) cho thấy X-quang có Se = 0,65; Sp = 0,81, PLR (positive likelihood ratio) = 3,67, NLR (negative likelihood ratio) = 0,42, và diện tích dưới đường cong (areas under the curve - AUC) = 0,77 trong chẩn đoán viêm phổi. Các khuyến cáo làm tăng hiệu quả của X-quang trong chẩn đoán viêm phổi cần chụp X-quang ở cả tư thế thẳng và nghiêng. X-quang ngực cũng hạn chế chẩn đoán viêm phổi ở những người nằm bất động hoàn toàn (liệt, hôn mê), béo phì, suy giảm miễn dịch hoặc có những bất thường trên X-quang trước đó. Một số trường hợp viêm phổi mà trên X-quang quang có thể không thấy hình ảnh tổn thương: ở giai đoạn đầu khởi phát bệnh (<24 giờ); người mất nước nặng; Giảm bạch cầu (giảm đáp ứng viêm); Viêm phổi do Pneumocystis jirovecii (khoảng 10-20% bệnh nhân không có hình ảnh tổn thương trên X-quang). Khi lấy CT làm tiêu chuẩn vàng, X-quang ngực chẩn đoán chính xác viêm phổi 75% đối với tổn thương đông đặc và 47% đối với tràn dịch màng phổi [19, 20, 21].
Chẩn đoán viêm phổi của CT có ưu điểm là độ nhạy cao hơn X-quang trong xác định hình ảnh thâm nhiễm; Cung cấp chi tiết về nhu mô phổi và trung thất giúp chẩn đoán phân biệt ở bệnh nhân viêm phổi; Có giá trị ở những bệnh nhân khó khăn khi phát hiện tổn thương bằng X-quang hay siêu âm như người béo phì, suy giảm miễn dịch, có bất thường trên X-quang ngực từ trước; Giúp phân biệt với một số bệnh (u, lao, thuyên tắc động mạch phổi); Bệnh nhân không thấy bất thường trên X
quang quy ước. Tuy nhiên CT cũng có nhược điểm như không thể thực hiện được tại giường, tăng chi phí, tăng nhiễm xạ [20, 21]. Ibrahim D. và cs (2021) nghiên cứu trên 130 bệnh nhân cấp cứu, cho thấy: CT ngực chẩn đoán viêm phổi ở 90,7% bệnh nhân và tỷ lệ chẩn đoán viêm phổi tăng 41,5% ở những bệnh nhân mà X-quang ngực không chẩn đoán được viêm phổi; CT chẩn đoán loại trừ viêm phổi cao hơn X-quang 66,9%; Các tác giả đưa ra kiến nghị CT có thể hỗ trợ X-quang trong chẩn đoán sớm viêm phổi ở những bệnh nhân nhập viện cấp cứu. Garin N. và cs (2019) cho thấy giá trị chẩn đoán viêm phổi của CT với diện tích dưới đường cong (AUROC) là 0,71 (0,63-0,80). Tuy nhiên chỉ định chụp CT ngực trong viêm phổi hiện còn chưa thống nhất [19]. Theo hướng dẫn của Nhật Bản, chỉ định CT chỉ trong trường hợp chụp X-quang ngực âm tính nhưng có lâm sàng có định hướng nhiều khả năng viêm phổi [9]. Đa số các khuyến cáo chỉ định chụp CT đối với viêm phổi bao gồm viêm phổi nặng hoặc phức tạp; Viêm phổi ở những bệnh nhân suy giảm miễn dịch; Viêm phổi không đáp ứng với kháng sinh; Viêm phổi tái phát hoặc không khỏi; Những bệnh nhân lâm sàng nghi ngờ viêm phổi nhưng chụp X-quang ngực bình thường hoặc chưa rõ; Viêm phổi ở người nghi ngờ có các bệnh tiềm ẩn [4].
Định hướng căn nguyên vi sinh: Hình ảnh tổn thương trên X-quang và CT ngực có giá trị định hướng căn nguyên vi sinh gây viêm phổi, tuy nhiên độ đặc hiệu không cao [5, 6].
Viêm phổi do Streptococcus pneumoniae: Hình ảnh tổn thương là viêm phổi phế nang/thùy, thường có hình ảnh phế quản hơi, không thay đổi kích thước vùng phổi đông đặc và không có hang. Thùy dưới thường gặp nhiều hơn và có thể xuất hiện ở nhiều thùy. Tổn thương hai bên gặp ở khoảng một nửa số bệnh nhân.

Chú thích: a) Hình ảnh đông đặc (dấu sao) ở thùy trên bên trái với dấu hiệu phế quản hơi (mũi tên đen). b) Hình ảnh đông đặc thùy dưới bên phải (dấu sao) trên CT. c) Hình ảnh đông đặc thùy và dấu hiệu phế quản hơi (mũi tên đen).
Viêm phổi do Klebsiella pneumonia: Đông đặc 1 bên hoặc 2 bên phổi làm tăng thể tích phổi, thường có hoại tử (40% trường hợp).

Chú thích: a) Hình ảnh đông đặc thùy trên phổi phải (dấu sao) với phá hủy tạo hang (mũi tên trắng nhỏ). b) Hình ảnh đông đặc thùy trên phổi phải với phồng rãnh liên thùy (mũi tên trắng dài). Các nốt đông đặc trung tâm ở thùy trên bên trái (mũi tên khối trắng)
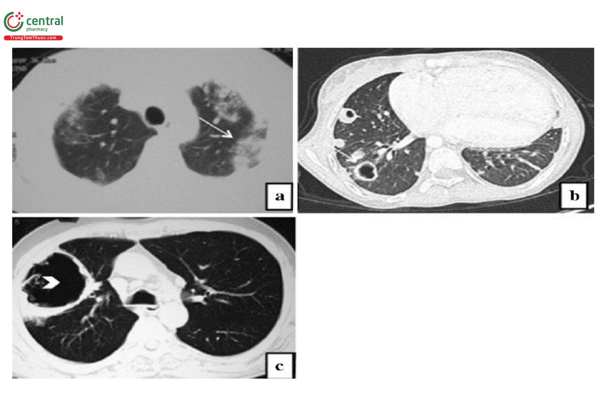
Viêm phổi do Staphylococcus aureus: Các đám đông đặc hoặc các nốt quanh phế quản, thường ở hai bên phổi, kèm theo thường có phá hủy tạo thành các ổ áp xe và tràn dịch - khí màng phổi. Khi bệnh ở giai đoạn phục hồi, có xu hướng hình thành các hang có thành mỏng gọi là bóng khí [20, 21].

Chú thích: a) Hình ảnh các nốt mờ quanh phế quản hợp nhất thành từng đám đông đặc ở thùy trên hai bên. b) Nhiều nốt mờ với một số phá hủy tạo hang (mũi tên trắng) ở phổi phải. c) Hình ảnh hang thành mỏng, lớn (mũi tên đầu).
Viêm phổi do Pseudomonas aeruginosa: Hay gặp nhất là hình ảnh viêm phế quản - phổi. Tổn thương ở thùy dưới và hoại tử tạo hang gặp phổ biến.

Chú thích: a) Hình ảnh đông đặc không đều với các nốt trung tâm thùy không rõ ràng và dày thành phế quản (mũi tên trắng). b) Các vùng đông đặc không đều quanh phế quản (đầu mũi tên trắng) và các nốt quanh phế quản ở cả hai phổi (mũi tên trắng)
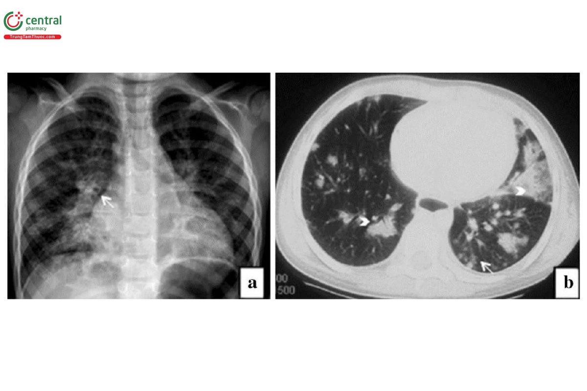
Viêm phổi do Mycoplasma pneumoniae: X-quang ngực thấy các tổn thương mờ dạng lưới hoặc đông đặc [18]. Trên CT, phổ biến là các nốt trung tâm tiểu thùy và các vùng đông đặc từ tiểu thùy đến thùy hoặc hình ảnh kính mờ với dày thành các phế quản trung tâm.

Chú thích: a) Hình ảnh mờ dạng lưới hai bên phổi (mũi tên trắng). b) Hình ảnh các đám mờ dạng kính mờ (đầu mũi tên) và các nốt mờ bờ không rõ ràng ở hai bên phổi (mũi tên trắng)
Viêm phổi do Legionella pneumophila: X-quang ngực thấy hình ảnh đông đặc lan tỏa, bờ không rõ ràng [5]. Trên CT chủ yếu hình ảnh đông đặc và kình mờ ở hai bên phổi (gặp 2/3 các trường hợp) [6]. Đông đặc quanh phế quản trong kính mờ gặp khoảng 1/3 các trường hợp.

Viêm phổi do virus: Hình ảnh của viêm phổi do virus rất đa dạng, trong đó hình ảnh viêm phế quản - phổi và kính mờ chiếm ưu thế. Ở những bệnh nhân mức độ bệnh nhẹ, trên hình ảnh X-quang ngực có thể thường bình thường hoặc thấy phổi tăng kích thước ở cả hai bên với các dấu hiệu mờ đậm quanh mạch máu phế quản. Viêm phổi do Adenovirus và Influenzavirus thấy các vùng đông đặc thành đám hoặc thùy với các hình ảnh kính mờ và nốt quanh phế quản. Viêm phổi do Varicella zoster thường gặp các nốt phân bố ngẫu nhiên ở cả hai phổi [2, 6].

Hình 10. Hình ảnh viêm phổi do virus.
Chú thích: a) Hình ảnh các lưới mờ ở hai phổi chủ yếu ở quanh rốn phổi (mũi tên) với tăng kích thước các trường phổi trong viêm phổi do virus. b) Hình ảnh các nốt mờ, bờ không rõ ràng (mũi tên trắng to) và GGO (mũi tên trắng mảnh) ở cả hai phổi với tình trạng dày tổ chức mô kẽ (đầu mũi tên) trong viêm phổi do virus. c) Hình ảnh nhiều nốt ngẫu nhiên có kích thước khác nhau (mũi tên trắng) trong viêm phổi do Varicella. d) Hình ảnh đông đặc quanh rốn phổi hai bên (dấu sao màu đen) với GGO liền kề (mũi tên trắng) và tràn dịch màng phổi hai bên (mũi tên đen) trong viêm phổi do virus cúm H1N1.
Đánh giá các biến chứng và chẩn đoán phân biệt viêm phổi: CT có giá trị xác định các biến chứng ở phổi và chẩn đoán phân biệt viêm phổi; hướng dẫn lựa chọn vị trí sinh thiết phổi xuyên phế quản hoặc sinh thiết qua da và dẫn lưu áp xe hoặc dịch màng phổi ở bệnh nhân viêm phổi. Hình ảnh rò phế quản - màng phổi (Bronchopleural Fistula - BPF) trên CT biểu hiện bằng đường dẫn trực tiếp giữa cây phế quản hoặc nhu mô phổi và khoang màng phổi. CT giúp đánh giá sự hiện diện, vị trí và kích thước của rò phế quản - màng phổi [6,20]

3 VAI TRÒ CỦA CỘNG HƯỞNG TỪ NGỰC TRONG VIÊM PHỔI
MRI có độ nhạy tương đương với CT trong phát hiện viêm phổi, nhưng chi phí cao, thời gian kiểm tra kéo dài và tính khả dụng hạn chế nên phương pháp này không được sử dụng thường quy trong chẩn đoán viêm phổi [6,7,9].
MRI được sử dụng chẩn đoán viêm phổi trong một số trường hợp như ở bệnh nhân nhi và phụ nữ mang thai. Đối với trẻ em, chụp MRI có giá trị trong chẩn đoán một số bệnh phổi như viêm phổi và phát hiện các bất thường về phổi ở bệnh nhân suy giảm miễn dịch [10,11,13]. Syrjala H. và cs (2017) thấy giá trị chẩn đoán viêm phổi của MRI có độ nhạy là 0,938 (95% CI 0,799–0,983) và độ đặc hiệu là 0,978 (95% CI 0,884–0,996), cao hơn X-quang ngực [6].
4 VAI TRÒ CỦA SIÊU ÂM TRONG VIÊM PHỔI
4.1 Hình ảnh siêu âm của viêm phổi
Đường B (B-lines): Là những đường vuông góc với đường màng phổi và song song với nhau. Nguyên nhân xuất hiện đường B do giảm khí ở phế nang và tích tụ dịch dưới màng phổi tạng; dày lên của vách liên tiểu thùy, chủ yếu liên quan đến dày mô kẽ [21]. Đường B là dấu hiệu đặc trưng của hội chứng tổ chức kẽ ở phổi. Trong đông đặc phổi, các đường B thường thấy cục bộ, nhiều đường hoặc từng mảng trong các vùng kính mờ hoặc các vùng đông đặc xung quanh [25, 26]. Trên hình ảnh siêu âm, khi có các dấu hiệu tổn thương tổ chức kẽ kết hợp với các vùng phổi được bảo tồn gợi ý nhiều đến viêm phổi do virus và các dấu hiệu này cũng tương quan với các dấu hiệu tổn thương trên CT [25, 26]. Khi các đường B chiếm hơn 50% trường phổi được gọi là "phổi trắng”. Mohamed MFH và cộng sự (2020) cho thấy tỷ lệ phát hiện được đường B (khu trú, nhiều đường và hợp nhất) bằng siêu âm phổi (Lung ultrasound - LUS) là 0,97 (95% CI 0,94-1,00), bất thường đường màng phổi là 0,70 (95% CI 0,13-1,00), đông đặc dưới màng phổi nhỏ hoặc lớn là 0,39 (95% CI 0,21-0,58), và tràn dịch màng phổi là 0,14 (95% CI 0,00-0,37) [27].

Dấu hiệu đông đặc phổi: Là vùng giảm âm chủ yếu dưới màng phổi hoặc vùng giảm âm có mật độ giống gan. Hình ảnh đông đặc trong viêm phổi thường có ranh giới không đều, không tròn. Khi có sự đông đặc dưới màng phổi, đường màng phổi không rõ ràng và sự trượt màng phổi giảm hoặc không có. Đông đặc có thể kèm dấu hiệu phế quản hơi (biểu hiện bằng các điểm tăng âm và/hoặc hình ảnh đường), giúp phân biệt với xẹp phổi [25, 32].

Chú thích: H: hepatization (gan hóa); A: atelectasis (xẹp phổi); BF: fluid bronchogram (dấu hiệu phế quản chứa dịch); BA: aerial bronchogram (dấu hiệu phế quản hơi)

4.2 Giá trị của siêu âm trong viêm phổi
Chẩn đoán viêm phổi: LUS có giá trị cao trong chẩn đoán viêm phổi, cao hơn X-quang và tương đương CT ngực. Nghiên cứu của Reissig A. và cộng sự (2014), cho thấy độ nhạy của siêu âm trong chẩn đoán viêm phổi từ 93,4 - 98% và độ đặc hiệu từ 97,7 - 95% [22]. Trong nghiên cứu đa trung tâm của Javaudin F. và cộng sự (2021), khả năng chẩn đoán của siêu âm trong viêm phổi là 72%. Siêu âm thích hợp hơn X-quang trong phát hiện tràn dịch màng phổi và đông đặc phổi [23]. Nghiên cứu tổng quan hệ thống của Hansell L. và cộng sự (2020), LUS có độ nhạy và độ đặc cao hơn trong xác định đông đặc phổi và tràn dịch màng phổi so với X-quang: đối với tràn dịch màng phổi và đông đặc/xẹp phổi, độ nhạy chẩn đoán của LUS dao động từ 91%-92%, diện tích dưới đường cong (AUC) là 0,96 và OR chẩn đoán dao động từ 134-160 [24]. Trong phân tích tổng hợp của Long L. và cộng sự (2017), LUS có độ nhạy 88% (95% CI 0,86-0,90) và độ đặc hiệu 86% (95% CI 0,83- 0,88) trong phát hiện viêm phổi ở người lớn so với chụp X-quang ngực hoặc CT ngực [21]. Nghiên cứu của Bourcier (2014), độ nhạy của LUS cao hơn X-quang ngực rõ rệt trong chẩn đoán viêm phổi (95% so với 60%, P <0,05). Khi so với chụp CT ngực, hiệu quả của LUS trong chẩn đoán viêm phổi cấp là 100%. Một nghiên cứu phân tích hệ thống cho thấy độ nhạy và độ đặc hiệu trong chẩn đoán viêm phổi của LUS lần lượt là 94% (95% CI, 92%-96%) và 96% (94%-97%) [26]. Sistani SS. (2021) cho thấy độ nhạy và độ đặc hiệu của siêu âm chẩn đoán viêm phổi cao hơn X-quang rõ rệt: 0,96 (khoảng tin cậy 95% [CI], 94%–97%) và 0,85 (95% CI, 84%–87%) so với 0,65 (95% CI, 63%–68%) và 0,81 (95% CI, 79%–83%). Diện tích dưới đường cong (AUC) là 0,9793 đối với US và 0,7667 đối với CXR. Khi sử dụng CT ngực làm tiêu chuẩn vàng, cho thấy siêu âm có độ nhạy là 90,9% (95% CI, 87,5%–93,6%) và độ đặc hiệu là 89,7% (95% CI, 86,7%-92,3%). Theo Reissig A. và cộng sự (2014), hình ảnh phế quản hơi trên siêu âm gặp khoảng 70-97% các trường hợp và tiêu chuẩn quan trọng nhất để chẩn đoán viêm phổi [26].
Ưu điểm của siêu âm là thực hiện ở mọi nơi, đơn giản, kết quả nhanh và có độ nhạy, độ đặc hiệu cao hơn X-quang, nhưng tương tự khi so với CT ngực trong chẩn đoán viêm phổi, chỉ định phù hợp ở phụ nữ mang thai và trẻ em để tránh tiếp xúc với bức xạ ion hóa. Tuy nhiên, khoảng 8% tổn thương phổi không thể phát hiện được bằng siêu âm, do đó siêu âm không thể loại trừ được viêm phổi [20, 21, 32].
Chẩn đoán phân biệt: Siêu âm cũng có thể phân biệt được giữa khối u, xẹp phổi và đông đặc phổi [21].
Theo dõi diễn biến của viêm phổi: Trong giai đoạn đầu của viêm phổi, hình ảnh siêu âm phổi có tính chất tăng âm lan tỏa, với hình ảnh tương tự như gan và có thể có hình ảnh phế quản hơi [20]. Khi đáp ứng tốt với điều trị, ở các vùng đông đặc phổi thấy hình ảnh khí, biểu hiện sự thông khí tiến triển của nhu mô phổi. LUS nhạy hơn X-quang và CT trong đánh giá hoại tử (áp xe) và tràn dịch màng phổi cận viêm phổi. Khi siêu âm Doppler màu, có thể xác định các vùng giảm âm cho thấy tình trạng giảm tưới máu. Hình ảnh áp xe được thể hiện dưới dạng hình ảnh nốt tròn hoặc hình bầu dục với các ranh giới rõ hoặc không rõ và bên trong có thể không phản âm hoặc phản âm, có vách, nhu mô phổi xung quanh có đường viền tăng âm [20, 24], hình ảnh mạch hóa rõ rệt và tăng cường độ tương phản âm (contrast-enhanced ultrasound: CEUS) sớm và mạnh. Sự tăng cường độ tương phản âm có giá trị chẩn đoán phân biệt giữa áp xe và khối u (áp xe không có mạch máu, trong khi khối u sẽ tăng sinh mạch) [26].
Đánh giá mức độ và độ rộng của viêm phổi trên siêu âm được mô tả bằng điểm LUS [29, 30, 31].
- Bảng 1. Tiêu chuẩn điểm LUS đánh giá mức độ viêm phổi trên siêu âm
| Điểm | Dấu hiệu hình ảnh siêu âm |
| 0 | Dấu hiệu đường A và dấu hiệu trượt phổi rõ ràng hoặc có 1-2 dấu hiệu đường B |
| 1 | ≥3 đường B hoặc đông đặc nhỏ dưới màng phổi được ngăn cách bởi các đường màng phổi nhẵn đều |
| 2 | Nhiều đường B kết hợp hoặc các đông đặc nhỏ dưới màng phổi được ngăn cách bởi các đường màng phổi không đều |
| 3 | Đông đặc dưới màng phổi lớn hơn 1 x 2cm |
Gợi ý căn nguyên viêm phổi: Có một số đặc điểm đặc trưng trên hình ảnh siêu âm theo một số căn nguyên vi khuẩn gây viêm phổi tuy nhiên không đặc hiệu [20, 22, 31].
- Bảng 2. Đặc điểm hình ảnh siêu âm theo căn nguyên viêm phổi
| Căn nguyên vi khuẩn | Đặc điểm hình ảnh siêu âm | Biến chứng |
| Streptococcus pneumoniae | Đông đặc thùy | Tràn dịch màng phổi |
| Staphilococcus aureus | Đông đặc nhiều vị trí | Áp-xe, mủ màng phổi |
| Haemophilus influenzae, legionella pneumophila, moraxella catarralis, chlamidia pneumoniae, mycoplasma pneumoniae | Nhiều đường B, đông đặc | Tràn dịch màng phổi |
| Vi khuẩn yếm khí | Đông đặc thùy trên | Áp-xe |
5 KẾT LUẬN
Viêm phổi hiện vẫn là gánh nặng bệnh tật toàn cầu. Chẩn đoán hình ảnh có vai trò xác định chẩn đoán, đánh giá mức độ và biến chứng, gợi ý căn nguyên vi sinh gây bệnh và theo dõi đáp ứng điều trị viêm phổi. Có nhiều kỹ thuật chẩn đoán hình ảnh được sử dụng trong viêm phổi, trong đó kỹ thuật X-quang quang và siêu âm ngực là phổ biến nhất. Hiện nay vai trò của siêu âm ngực được được đánh giá cao trong viêm phổi bởi có độ nhạy và độ đặc hiệu cao hơn X-quang và tương tự CT, nhưng thực hiện được nhiều lần, dễ ràng, nhanh chóng, chi phí thấp, không nhiễm xạ và thực hiện được nhiều tư thế người bệnh khác nhau. Tuy nhiên cần phải đào tạo về kỹ thuật để các bác sỹ có thể áp dụng kỹ thuật này một cách thường quy vào hoạt động hàng ngày trong thực hành lâm sàng góp phần nâng cao hiệu quả chẩn đoán và điều trị viêm phổi.
6 Tài liệu tham khảo
1. Garg M., Prabhakar N., Kiruthika P. et al. Imaging of Pneumonia: An Overview. Curr Radiol Rep (2017) 5:16
2. Bender RG., Sirota SB., Swetschinski LR., Dominguez R-MV., Novotney A., Wool EE., et al. Global, regional, and national incidence and mortality burden of non-COVID-19 lower respiratory infections and aetiologies, 1990– 2021: a systematic analysis from the Global Burden of Disease Study 2021. Lancet Infect Dis 2024; 24:974–1002.
3. Murray CJL., Ikuta KS., Sharara F., Swetschinski L., Aguilar GR., Gray A., et al. Global burden of bacterial antimicrobial resistance in 2019: a systematic analysis. Lancet 2022; 399:629–655.
4. Alshahwan SI., Alsowailmi G., Alsahli A., Alotaibi A., Alshaikh M., Almajed M., Omair A., Almodaimegh H. The prevalence of complications of pneumonia among adults admitted to a tertiary care center in Riyadh from 2010- 2017. Ann Saudi Med. 2019 Jan-Feb;39(1):29-36.
5. Pochepnia S., Grabczak EM., Johnson E., et al. Imaging in pulmonary infections of immunocompetent adult patients. Breathe 2024; 20: 230186.
6. Syrjala H., Broas M., Ohtonen P., et al. Chest magnetic resonance imaging for pneumonia diagnosis in outpatients with lower respiratory tract infection. Eur Respir J 2017; 49: 1601303.
7. Wagner M., Böwing BC., Kuth R., et al. Low field thoracic MRI - a fast and radiation free routine imaging modality in children. Magn Reson Imaging 2001; 19: 975-983.
8. Peltola V, Ruuskanen O., Svedström E. Magnetic resonance imaging of lung infections in children. Pediatr Radiol 2008; 38: 1225-1231.
9. Yikilmaz A., Koc A., Coskun A., et al. Evaluation of pneumonia in children: comparison of MRI with fast imaging sequences at 1.5T with chest radiographs. Acta Radiol 2011; 52: 914–919.
10. Hirsch W., Sorge I., Krohmer S., et al. MRI of the lungs in children. Eur J Radiol 2008; 68: 278–288.
11. Eibel R., Herzog P., Dietrich O., et al. Pulmonary abnormalities in immunocompromised patients: comparative detection with parallel acquisition MR imaging and thin-section helical CT. Radiology 2006; 241: 880-891.
12. Rieger C., Herzog P., Eibel R., et al. Pulmonary MRI - a new approach for the evaluation of febrile neutropenic patients with malignancies. Support Care Cancer 2008; 16: 599-606.
13. Attenberger UI., Morelli JN., Henzler T., et al. Tesla proton MRI for the diagnosis of pneumonia/lung infiltrates in neutropenic patients with acute myeloid leukemia: initial results in comparison to HRCT. Eur J Radiol 2014; 83: e61-e66.
14. Wielpuz M., Kauczor HU. MRI of the lung: state of the art. Diagn Interv Radiol 2012; 18: 344–353. 15. Wild JM., Marshall H., Bock M., et al. MRI of the lung: methods. Insights Imaging 2012; 3: 345–353.
16. Biederer J., Mirsadraee S., Beer M., et al. MRI of the lung - current applications and future perspectives. Insights Imaging 2012; 3: 373–386.
17. Franquet T. Imaging of Community-acquired Pneumonia. J Thorac Imaging Volume 33, Number 5, September 2018.
18. Makhnevich A., Sinvani L., Cohen SL., Feldhamer1 KH., Zhang M., Lesser ML., McGinn TG. The Clinical Utility of Chest Radiography for Identifying Pneumonia: Accounting for Diagnostic Uncertainty in Radiology Reports. AJR 2019; 213:1207–1212
19. Garin N., Marti C., Carballo S. et al. Rational Use of CT-Scan for the Diagnosis of Pneumonia: Comparative Accuracy of Different Strategies. J. Clin. Med. 2019, 8, 514; doi:10.3390/jcm8040514
20. Pérez J., Francisca P., Bernal Maria L., Cabello del R., Alexander J., Romero AJ. Usefulness of thoracic ultrasound for diagnosis and follow-up of pneumonia. Rev Esp Quimioter 2022; 35 (Suppl. 1): 21-24.
21. Long L., Zhao HT., Zhang ZY., Wang GY., Zhao HL. Lung ultrasound for the diagnosis of pneumonia in adults: A meta-analysis. Medicine (Baltimore). 2017 Jan;96(3):e5713. doi: 10.1097/MD.0000000000005713
22. Reissig A., Copetti R. Lung ultrasound in community-acquired pneumonia and in interstitial lung diseases. Respiration. 2014;87(3):179 - 89.
23. Javaudin F., Marjanovic N., de Carvalho H., Gaborit B., Le Bastard Q., Boucher E., et al. Contribution of lung ultrasound in diagnosis of community-acquired pneumonia in the emergency department: a prospective multicentre study. BMJ Open. 2021 Sep 24;11(9):e046849.
24. Hansell L., Milross M., Delaney A., Tian DH., Ntoumenopoulos G. Lung ultrasound has greater accuracy than conventional respiratory assessment tools for the diagnosis of pleural effusion, lung consolidation and collapse: a systematic review. J Physiother. 2021 Jan;67(1):41-48.
25. Boccatonda, A.; Cocco, G.; D’Ardes, D.; Delli Pizzi, A.; Vidili, G.; De Molo, C.; Vicari, S.; Serra, C.; Cipollone, F.; Schiavone, C.; et al. Infectious Pneumonia and Lung Ultrasound: A Review. J. Clin. Med. 2023, 12, 1402.
26. Reissig A., Copetti R., Mathis G., Mempel C.; Schuler A., Zechner P., Aliberti S., Neumann R., Kroegel C., Hoyer H. Lung ultrasound in the diagnosis and follow-up of community-acquired pneumonia: A prospective, multicenter, diagnostic accuracy study. Chest 2012, 142, 965-972.
27. Mohamed MFH., Al-Shokri S., Yousaf Z., Danjuma M., Parambil J., Mohamed S., et al. Frequency of Abnormalities Detected by Pointof-Care Lung Ultrasound in Symptomatic COVID-19 Patients: Systematic Review and Meta-Analysis. Am J Trop Med Hyg. 2020 Aug;103(2):815-821.
28. Volpicelli G., Lamorte A., Villén T. What’s new in lung ultrasound during the COVID-19 pandemic. Intensive Care Med. 2020, 46, 1445-1448.
29. Volpicelli G., Gargani L. Sonographic signs and patterns of COVID-19 pneumonia. Ultrasound J. 2020, 12, 22.
30. Soldati G., Smargiassi A. On Lung Ultrasound Patterns Specificity in the Management of COVID-19 Patients. J. Ultrasound Med.2020, 39, 2283–2284.
31. Sofia S., Boccatonda A., Montanari M., Spampinato M., D’Ardes D., Cocco G., Accogli E., Cipollone F., Schiavone C. Thoracic ultrasound and SARS-COVID-19: A pictorial essay. J. Ultrasound 2020, 23, 217–221.
32. Inchingolo R., Copetti R., Smargiassi A., Gerardi RE., Conte EG., Corbo GM., Gatto A., Pierandrei C., Capossela L., Lazzareschi I., et al. Air bronchogram integrated lung ultrasound score to monitor community-acquired pneumonia in a pilot pediatric population. J. Ultrasound 2021, 24, 191-200.

