Sinh bệnh học hen - Cơ chế đáp ứng miễn dịch, bệnh nguyên

Người soạn: TS. BS. NGUYỄN VĂN THÀNH
Phản biện khoa học: PGS. TS. BS. ĐINH NGỌC SỸ
Tải PDF TẠI ĐÂY
1 ĐỊNH NGHĨA HEN
Theo tài liệu của Viện Tim, Phổi và Huyết học Hoa Kỳ năm 2007, hen được định nghĩa là một tình trạng rối loạn (disorder) viêm mạn tính của đường thở. Tình trạng viêm trong hen, khác với các bệnh lý khác, có thể thay đổi, rất khác nhau giữa các bệnh nhân và giữa các thời điểm trên từng người bệnh.
Gần đây, năm 2024, GINA (Global Initiative for Asthma), một tài liệu hướng dẫn có tính toàn cầu định nghĩa Hen là bệnh (disease) không đồng nhất, thông thường đặc trưng bởi tình trạng viêm mạn tính. GINA nói thêm rằng bệnh hen được xác định bởi tiền sử, triệu chứng hô hấp (như khò khè, khó thở, nặng ngực hoặc ho) thay đổi theo thời gian và mức độ cùng với hạn chế luồng khí thở ra thay đổi, tuy nhiên hạn chế luồng khí trở nên hằng định về sau trong quá trình diễn biến bệnh.
Khoảng 50 năm trước, ở Việt Nam, trong từ điển Lao và Bệnh phổi (năm 1977), NĐ Hường viết rằng “Hen phế quản là bệnh phổi thuộc loại “thần kinh - dị ứng” với biểu hiện phế quản bằng cơn khó thở có nhiều nguyên nhân, dị ứng và không dị ứng, nội sinh hoặc ngoại sinh, thường diễn biến thất thường, có khuynh hướng mạn tính với các biến chứng lâu dài”.
Như vậy, nhìn vào ba thời điểm: Khoảng nửa cuối thế kỷ 20, đầu thế kỷ 21 và tới nay định nghĩa hen cơ bản là không thay đổi với các từ khóa như sau: Viêm nền tảng, dị ứng hay không dị ứng, biểu hiện lâm sàng thất thường và không giống nhau giữa người này với người khác, bằng triệu chứng hô hấp khá đặc trưng (ho, khò khè, nặng ngực, khó thở, thường thành cơn), diễn biến mạn tính và để lại hậu quả.
Về thuật ngữ, chúng ta nên thống nhất đây là “bệnh” nhưng là “bệnh phổi” do không chỉ có biểu hiện ở phế quản và có bản chất nền tảng là viêm. Bệnh gắn với một bệnh cảnh khá điển hình là triệu chứng hô hấp thành cơn, lặp đi lặp lại, thay đổi nhanh dù có điều trị hay không, diễn biến mạn tính và có thể để lại hậu quả lâu dài. Về cơ bản, nhận thức về hen dựa trên triệu chứng lâm sàng.
Các khái niệm về sinh bệnh học hen đã phát triển đáng kể trong 25 năm qua và vẫn đang được tiếp tục phân tích khi hiểu biết của chúng ta sâu sắc hơn về sự liên kết các đặc điểm lâm sàng của bệnh với các kiểu gen. Điểm cốt lõi của các kiểu hình khác nhau của bệnh hen là sự hiện diện của tình trạng viêm đường thở với đặc tính thay đổi như đã nói. Điều đáng nói là tình trạng viêm có thể diễn biến kiểu mạn tính dẫn đến những thay đổi vĩnh viễn trong cấu trúc đường thở không đảo ngược hoặc không đáp ứng hoàn toàn với các phương pháp điều trị hiện có. Do đó, nhận thức về bệnh học hen đã được mở rộng trong 10 năm qua từ co thắt phế quản và viêm đường thở sang cả khả năng tái cấu trúc đường thở.
2 SINH BỆNH HỌC HEN
Bốn cơ chế cơ xảy ra trong hen làm thu hẹp lòng đường thở và hạn chế luồng khí bao gồm: Co thắt cơ trơn phế quản, phù niêm mạc phế quản, tăng phản ứng đường thở và tái cấu trúc đường thở.
- Co thắt cơ trơn phế quản: Trong bệnh hen, sự kiện sinh lý bệnh chủ yếu dẫn đến các triệu chứng lâm sàng là thu hẹp đường thở, cản trở sự lưu thông của luồng khí. Trong các cơn cấp, co thắt cơ trơn phế quản xuất hiện, nhanh chóng làm thu hẹp đường thở để đáp ứng với tình trạng tiếp xúc với nhiều kích thích khác nhau, bao gồm các chất gây dị ứng hoặc chất kích thích. Co thắt cơ trơn phế quản cấp do chất gây dị ứng là kết quả của việc giải phóng các chất trung gian phụ thuộc IgE từ các tế bào mast bao gồm histamine, tryptase, leukotrienes và prostaglandin trực tiếp làm co cơ trơn. Aspirin và các thuốc kháng viêm không steroid khác cũng có thể gây ra tình trạng lâm sàng cấp tính tương tự liên quan tới sự giải phóng chất trung gian từ các tế bào đường thở nhưng không phụ thuộc IgE. Với các kích thích khác (bao gồm tập thể dục, không khí lạnh và chất kích thích), cơ chế tạo ra tình trạng co thắt cơ trơn phế quản chưa được biết đầy đủ, nhưng có vẻ liên quan đến nền tảng viêm đường thở. Trạng thái tâm lý căng thẳng cũng có thể đóng vai trò trong việc thúc đẩy các đợt cấp nhưng các cơ chế liên quan vẫn chưa được xác định và có thể bao gồm việc tăng cường tạo ra các cytokine tiền viêm.
- Phù đường thở xuất hiện chậm hơn và làm tăng thêm tình trạng thu hẹp lòng đường thở. Hiện tượng này bao gồm phù viêm, tăng tiết chất nhầy và hình thành nút nhầy đặc cũng như những thay đổi về cấu trúc bao gồm phì đại và tăng sản cơ trơn đường thở. Những thay đổi sau này có thể không đáp ứng với phương pháp điều trị thông thường.
- Tăng phản ứng đường thở là tình trạng phản ứng quá mức đối với các kích thích là đặc điểm chính trong hen. Mức độ tăng phản ứng đường thở có thể được xác định bằng phản ứng co cơ trơn đối với các thử nghiệm (test) kích thích phản ứng đường thở bằng methacholine. Mức độ tăng phản ứng đường thở tương quan với mức độ nặng lâm sàng của bệnh. Các cơ chế ảnh hưởng đến tăng phản ứng đường thở rất đa dạng, bao gồm tình trạng viêm, rối loạn chức năng điều hòa thần kinh và các thay đổi về cấu trúc. Tình trạng viêm dường như là một yếu tố chính trong việc xác định mức độ tăng phản ứng đường thở. Điều trị hướng đến việc giảm viêm có thể làm giảm tăng phản ứng đường thở và cải thiện khả năng kiểm soát bệnh.
- Tái cấu trúc đường thở tạo ra ở một số người bị hen tình trạng hạn chế luồng khí chỉ có thể hồi phục một phần. Thay đổi cấu trúc vĩnh viễn và những thay đổi liên quan đến tình trạng mất chức năng phổi tiến triển không hoặc không thể hồi phục hoàn toàn bằng các trị liệu hiện có. Những thay đổi cấu trúc có thể bao gồm sự dày lên của màng nền, xơ hóa dưới biểu mô, phì đại và tăng sản cơ trơn đường thở, tăng sinh và dãn mạch máu, tăng sản và tăng tiết tuyến nhầy. Cơ chế của hiện tượng bệnh lý này vẫn chưa được xác định rõ nhưng chắc chắn rằng nó là cơ chế giải thích bản chất dai dẳng của bệnh và những hạn chế đáp ứng với điều trị.
Viêm đóng vai trò trung tâm trong sinh bệnh học hen. Như đã lưu ý trong định nghĩa, tình trạng viêm đường thở liên quan đến sự tương tác của nhiều loại tế bào và nhiều chất trung gian hóa học, cuối cùng dẫn đến viêm phế quản, hạn chế luồng khí, dẫn đến các cơn ho, khò khè, nặng ngực và khó thở tái phát. Mặc dù khác nhau về mức độ triệu chứng (hen thưa, hen dai dẳng, hen gắng sức, hen nặng…), tình trạng viêm đường thở vẫn là một mô hình sinh bệnh học cơ bản và đặc điểm tế bào cũng như phản ứng của các tế bào cấu trúc trong bệnh hen khá nhất quán.
2.1 Tế bào viêm trong hen
Tế bào lympho: Dưới tác động của kích thích, tế bào T hỗ trợ (T helper, Th) phát triển và biệt hóa thành hai phân nhóm tế bào chính được gọi là tế bào Th1 và Th2 (còn được gọi là tế bào T hỗ trợ type 1 và type 2). Phản ứng qua trung gian Th1 theo hướng đáp ứng miễn dịch tế bào trong khi phản ứng qua trung gian Th2 hướng tới đáp ứng miễn dịch dịch thể. Ở người bệnh hen, đáp ứng viêm thiên về Th2, dẫn đến tình trạng viêm bạch cầu ái toan đặc trưng. Ngoài ra, việc tạo ra các cytokine Th2 như interleukin-4 (IL-4), IL-5 và IL-13 cũng có thể giải thích tình trạng tạo ra quá mức IgE, sự hiện diện của bạch cầu ái toan và sự phát triển của tình trạng tăng phản ứng đường thở. Cũng có thể có sự giảm một nhóm nhỏ tế bào lympho, tế bào T điều hòa (thường nhằm ức chế tế bào Th2), cũng như sự gia tăng tế bào giết tự nhiên (NK) giải phóng một lượng lớn cytokine Th1 và Th2. Nhận định hen là bệnh Th2 là một sự đơn giản hóa quá mức của một quá trình phức tạp của tình trạng viêm nhưng những hiểu biết tốt hơn về các họ cytokines và chemokines đã giúp chúng ta hiểu rõ hơn về phản ứng viêm trong hen.
Tế bào mast: Hoạt hóa tế bào mast trên niêm mạc giải phóng các chất trung gian gây co thắt phế quản (histamine, cysteinyl-leukotrienes, prostaglandin D2). Mặc dù sự kích hoạt bởi các chất gây dị ứng xảy ra thông qua các thụ thể IgE có ái lực cao có thể là phản ứng có liên quan nhất nhưng các tế bào mast nhạy cảm cũng có thể được kích hoạt bởi các kích thích thẩm thấu. Điếu này giải thích cho chứng co thắt phế quản do gắng sức (exercise-induced bronchospasm, EIB). Số lượng tế bào mast tăng lên trong cơ trơn đường thở có thể liên quan đến tình trạng tăng phản ứng đường thở. Tế bào mast cũng có thể giải phóng một lượng lớn cytokine để thay đổi môi trường đường thở và thúc đẩy tình trạng viêm ngay cả khi việc tiếp xúc hạn chế với chất gây dị ứng (Hình 1.1).
Bạch cầu ái toan: Số lượng bạch cầu ái toan tăng lên trong đường thở của hầu hết nhưng không phải tất cả những người bị hen. Những tế bào này chứa các enzym gây viêm, tạo ra leukotriene và biểu hiện nhiều loại cytokine tiền viêm. Sự gia tăng bạch cầu ái toan thường tương quan với mức độ nặng của bệnh hen. Ngoài ra, nhiều nghiên cứu cho thấy điều trị hen bằng corticosteroid làm giảm bạch cầu ái toan tuần hoàn và trên đường thở song song với cải thiện lâm sàng. Tuy nhiên, vai trò và sự đóng góp của bạch cầu ái toan đối với bệnh hen đang được đánh giá lại dựa trên các nghiên cứu với phương pháp điều trị kháng IL-5 và đã làm giảm đáng kể bạch cầu ái toan nhưng không ảnh hưởng đến việc kiểm soát bệnh hen. Do đó, mặc dù bạch cầu ái toan có thể không phải là tế bào hiệu ứng chính duy nhất trong bệnh hen nhưng nó có thể có vai trò riêng biệt trong các giai đoạn khác nhau của bệnh. Quan điểm chẩn đoán hen dựa vào lâm sàng, như trong phần định nghĩa phía trên đề cập, hay cần dựa vào một hay nhiều xét nghiệm có tính khách quan hỗ trợ, vẫn còn chưa thống nhất vì bạch cầu ái toan có giá trị không hằng định, có thể tạo dương tính giả hoặc âm tính giả.
Bạch cầu đa nhân trung tính: Bạch cầu đa nhân trung tính tăng lên trong đường thở và đờm của những người bị hen nặng, trong các cơn cấp tính và khi có hút thuốc. Vai trò sinh bệnh học trong hen của dòng bạch cầu này vẫn chưa chắc chắn. Chúng có thể là yếu tố quyết định tình trạng không đáp ứng với điều trị bằng corticosteroid. Việc điều chỉnh quá trình thu hút, hoạt hóa và làm thay đổi chức năng phổi của bạch cầu đa nhân trung tính vẫn đang được nghiên cứu nhưng leukotriene B4 (chất trung gian thu hút bạch cầu đa nhân trung tính) có thể góp phần vào các quá trình này.
Tế bào đuôi gai (dendritic cell, DC): Các tế bào DC hoạt động như các tế bào trình diện kháng nguyên quan trọng, tương tác với các chất gây dị ứng từ bề mặt đường thở và sau đó di chuyển đến các hạch bạch huyết khu vực để tương tác với các tế bào điều hòa và cuối cùng kích thích sản xuất tế bào Th2 từ các tế bào T ngây thơ.
Đại thực bào: Đại thực bào là tế bào có số lượng nhiều nhất trong đường thở và cũng có thể được kích hoạt bởi các chất gây dị ứng thông qua các thụ thể IgE có ái lực thấp để giải phóng các chất trung gian gây viêm và cytokine khuếch đại phản ứng viêm.
Các tế bào thường trú trên đường thở: Cơ trơn đường thở không chỉ là mục tiêu của phản ứng hen (gây co thắt) mà còn góp phần vào phản ứng này (thông qua việc sản xuất ra họ các chất trung gian gây viêm của chính nó). Do hậu quả của viêm đường thở và sự hình thành các yếu tố tăng trưởng, tế bào cơ trơn đường thở có thể trải qua sự tăng sinh, hoạt hóa, co thắt và phì đại - các biến đổi có thể ảnh hưởng đến rối loạn chức năng đường thở trong bệnh hen.
Tế bào biểu mô: Biểu mô đường thở là một lớp tế bào bao phủ bề mặt niêm mạc đường thở dạng trụ giả tầng có liên quan quan trọng đến bệnh hen. Việc tạo ra các chất trung gian gây viêm, sự tập hợp và kích hoạt các tế bào gây viêm và nhiễm trùng do vi-rút đường hô hấp có thể khiến các tế bào biểu mô sản xuất nhiều chất trung gian gây viêm hơn hoặc làm tổn thương chính biểu mô. Quá trình phục hồi, sau khi biểu mô bị tổn thương, có thể bất thường ở bệnh hen, do đó làm trầm trọng thêm các tổn thương gây tắc nghẽn xảy ra ở bệnh hen.
Chúng ta vừa đề cập tới các tế bào viêm trong hen. Các tế bào này hoạt động và tương tác với nhau thông qua các chất trung gian viêm (Inflammatory mediators). Đây là những chất hóa học đóng vai trò quan trọng trong phản ứng viêm của cơ thể. Khi các mô bị tổn thương hoặc nhiễm trùng, các chất trung gian này được giải phóng để giúp bảo vệ và chữa lành vùng bị ảnh hưởng. Chúng điều chỉnh nhiều khía cạnh khác nhau của tình trạng viêm, bao gồm lưu lượng máu, hoạt động của tế bào miễn dịch và phục hồi sửa chữa mô. Một số chất trung gian gây viêm phổ biến bao gồm: Cytokine (protein điều chỉnh phản ứng miễn dịch và thúc đẩy tín hiệu tế bào), histamine (chất hóa học làm tăng lưu lượng máu đến vùng bị ảnh hưởng, gây sưng và đỏ), prostaglandin (hợp chất lipid góp phần gây đau và sốt), leukotriene (phân tử thu hút các tế bào miễn dịch đến vị trí bị viêm). Tiếp theo chúng ta điểm qua các chất trung giam viêm và vai trò trong sinh bệnh học hen.
2.2 Các chất hóa học trung gian
Chemokine: Là các chất đóng vai trò quan trọng trong việc thu hút các tế bào viêm vào đường thở và chủ yếu được trình diện trên các tế bào biểu mô đường thở. Eotaxin là chemokine tương đối chọn lọc đối với bạch cầu ái toan, trong khi tuyến ức và chemokine điều chỉnh hoạt hóa (activation - regulated chemokines TARC) và chemokine có nguồn gốc từ đại thực bào (macrophage - derived chemokines, MDC) thu hút các tế bào Th2. Vai trò của họ chất trung gian này trong việc điều phối tổn thương, phục hồi và nhiều khía cạnh của bệnh hen hiện nay đang ngày càng được đánh giá cao.
Cytokine: Là các chất có vai trò chỉ đạo, sửa đổi phản ứng viêm trong hen và có khả năng xác định mức độ nặng của bệnh. Các cytokine có nguồn gốc từ Th2 bao gồm IL-5, cần thiết cho sự biệt hóa và sống sót của bạch cầu ái toan, IL-4 quan trọng đối với sự biệt hóa tế bào Th2 và IL-13 quan trọng đối với sự hình thành IgE. Các cytokine chính bao gồm IL-1β và yếu tố hoại tử u-α (TNF-α), có hiệu ứng khuếch đại phản ứng viêm, và yếu tố kích thích dòng bạch cầu hạt - đại thực bào (granulocyte-macrophage colony-stimulating factor, GM-CSF) làm kéo dài thời gian sống của bạch cầu ái toan trong đường thở. Các nghiên cứu gần đây về phương pháp điều trị hướng đến các cytokine đơn lẻ (ví dụ, kháng thể đơn dòng chống lại IL-5 hoặc thụ thể IL-4 hòa tan) chưa cho thấy lợi ích trong việc cải thiện kết quả trong hen.
Cysteinyl-leukotrienes: Là chất gây co thắt phế quản mạnh có nguồn gốc chủ yếu từ tế bào mast. Đây là chất trung gian duy nhất mà sự ức chế của nó có liên quan đặc hiệu đến việc cải thiện chức năng phổi và các triệu chứng hen. Các nghiên cứu gần đây cũng cho thấy leukotriene B4 có thể góp phần vào quá trình viêm bằng cách thu hút bạch cầu đa nhân trung tính.
Nitric oxide (NO): Chất được sản xuất chủ yếu từ hoạt động của NO synthase (NOS) có thể cảm ứng trong các tế bào biểu mô đường thở. Đây là chất gây dãn mạch mạnh. Các phép đo NO trong khí thở ra (fractional exhaled NO, FeNO) có thể hữu ích để theo dõi phản ứng với điều trị hen do mối liên hệ được cho là có giữa FeNO với sự hiện diện của tình trạng viêm trong hen.
2.3 Immunoglobulin E
IgE là kháng thể chịu trách nhiệm kích hoạt các phản ứng dị ứng và đóng vai trò quan trọng đối với cơ chế sinh bệnh của các bệnh dị ứng và sự phát triển, duy trì tình trạng viêm. IgE bám vào bề mặt tế bào thông qua một thụ thể đặc hiệu có ái lực cao. Tế bào mast có số lượng lớn thụ thể IgE, khi được kích hoạt do tương tác với kháng nguyên, chúng giải phóng nhiều loại chất trung gian để khởi phát cơn co thắt phế quản cấp tính cũng như giải phóng các cytokine tiền viêm để duy trì tình trạng viêm đường hô hấp. Các tế bào khác, như bạch cầu ái kiềm, tế bào đuôi gai và tế bào lympho cũng có thụ thể IgE có ái lực cao.

Sự phát triển của các kháng thể đơn dòng chống lại IgE đã chỉ ra rằng việc giảm IgE có hiệu quả trong điều trị hen. Những quan sát lâm sàng này càng củng cố thêm tầm quan trọng của IgE đối với bệnh hen. Các nghiên cứu hiện tại đang đánh giá hiệu quả các liệu pháp mới nhắm vào các cytokine, chemokine và các tế bào viêm xa hơn về thượng nguồn trong quá trình viêm. Ví dụ, các loại thuốc được thiết kế để ức chế con đường viêm Th2 có thể gây ra một loạt các hiệu ứng đối với phản ứng quá mức đường thở và tăng tiết chất nhầy.
2.4 Hen Th2 và không Th2
Mặc dù hen được phân loại thành hen viêm Th2 cao và hen viêm Th2 thấp nhưng bệnh hen cũng có thể biểu hiện tình trạng viêm hỗn hợp. Bệnh nhân có thể bị hen Th2 cao ở giai đoạn đầu và bị hen Th2 thấp ở giai đoạn sau (hoặc ngược lại) hoặc hen viêm Th2 cao và hen viêm Th2 thấp xảy ra đồng thời (Hình 1.2).
2.4.1 Trong hen viêm Th2 cao
Th2 là dòng tế bào T hiệu ứng CD4+ riêng biệt tiết ra Interleukin (IL)-4, IL-5, IL-13 và IL-9. Khoảng 50% bệnh hen nhẹ đến trung bình và một phần lớn bệnh hen nặng là do viêm phụ thuộc Th2 gây ra. Viêm Th2 có hai giai đoạn chính:
Nhạy cảm: Khi các chất gây dị ứng xâm nhập vào đường hô hấp dưới, các tế bào trình diện kháng nguyên sẽ xử lý và trình diện các chất gây dị ứng này cho các tế bào Th2, tiết ra các cytokine Th2, bao gồm IL-5, IL-4 và IL-13. IL-4 và IL-13 kích hoạt tế bào B, sản xuất IgE và liên kết với tế bào mast.
Thách thức: Khi chất gây dị ứng đã mẫn cảm xâm nhập vào đường thở, chúng liên kết với IgE, kích thích tế bào mast giải phóng các chất trung gian, chẳng hạn như leukotrienes (LT), histamine và IL. Ngoài ra, các chất gây dị ứng cũng tác động lên dây thần kinh cholinergic để giải phóng acetylcholine. Các chất trung gian và chất dẫn truyền thần kinh kể trên sẽ gây kích ứng cơ trơn đường thở và gây co thắt phế quản. Bên cạnh đó, IL-5 cũng kích hoạt tăng sinh bạch cầu ái toan, trưởng thành và thu hút chúng tới phổi. Bạch cầu ái toan cũng giải phóng các chất trung gian, bao gồm protein cơ bản chính (major basic protein, MBP), kích thích tế bào mast giải phóng histamine và LT. MBP cũng ức chế thụ thể M2 muscarinic, thúc đẩy giải phóng acetylcholine từ dây thần kinh cholinergic và gây co thắt phế quản. Hơn nữa, IL-13 trực tiếp làm nhạy cảm co thắt cơ trơn đường thở, kích thích tế bào biểu mô tiết mucin và gây xơ hóa.
Các nghiên cứu gần đây đã chứng minh rằng tế bào biểu mô đường thở cũng sản xuất ra các cytokine để đáp ứng với chấn thương, nhiễm trùng và các chất gây ô nhiễm. Các cytokine có nguồn gốc từ biểu mô bao gồm lymphopoietin mô đệm tuyến ức (TSLP), IL-25 và IL-33. TSLP, IL-25 và IL-33 kích hoạt các tế bào lympho bẩm sinh loại 2 (ILC2), tạo ra các cytokine Th2 như IL-5 và IL-13 và gây ra tình trạng viêm Th2. Ngoài ra, có bằng chứng cho thấy IL-33 có thể ảnh hưởng trực tiếp đến hoạt hóa tế bào mast, di chuyển (migration) cơ trơn đường thở và kiểu hình hen.
Các tế bào Th9 và IL-9 cũng tham gia vào tình trạng viêm Th2. Các tế bào Th9 sản xuất ra các cytokine IL-9, IL-10 và IL-21, tuy nhiên, IL-9 có khả năng góp phần gây ra bệnh lý hen. Do tác dụng đa nhiệm của nó, IL-9 ảnh hưởng đến nhiều loại tế bào riêng biệt, chẳng hạn như tế bào T, tế bào B, tế bào mast và đại thực bào. IL-9 có thể thúc đẩy tình trạng viêm Th2 bằng cách kích hoạt các tế bào Th2 và tăng sự tích tụ của tế bào mast. IL-9 cũng có thể kích hoạt các đại thực bào kẽ Arg1+, tiết ra chemokine CCL5. Sau đó, CCL5 thu hút bạch cầu ái toan, tế bào T và tế bào đơn nhân vào phổi để lan rộng tình trạng viêm loại 2.
Tế bào T diệt tự nhiên (NKT) là một phân nhóm riêng biệt của các tế bào lympho có nhiều trong phổi cũng như các cơ quan lymphoid. Có giả thuyết cho rằng các tế bào NKT tiết ra IL-4 và IL-13 hoặc tạo điều kiện cho các tế bào Th2 tăng sản xuất IL-4 và IL-13.
Tế bào T điều hòa (Treg) là một quần thể tế bào T CD4+ đặc hiệu có tác dụng ức chế phản ứng miễn dịch, do đó duy trì cân bằng nội môi và khả năng tự dung nạp (self-tolerance). Treg đã được phân loại dựa trên biểu hiện của yếu tố phiên mã FOXP3. Treg có thể ức chế quá trình sinh bệnh hen bằng cách ức chế hoạt hóa/chức năng của ILC2, tế bào mast, tế bào trình diện kháng nguyên, tế bào Th1/Th2/Th17, bạch cầu ái toan, bạch cầu đa nhân trung tính và tế bào B.
Một trong những mục tiêu của cytokine Th2 là periostin, là một protein không cấu trúc được biểu hiện động trong cấu trúc nền ngoại bào. Biểu hiện periostin được điều hòa tăng lên bởi IL-4 và IL-13 trong các tế bào biểu mô phế quản nuôi cấy và nguyên bào sợi phế quản và là một trong những gen biểu mô phế quản có biểu hiện khác biệt nhất giữa bệnh nhân hen và đối tượng chứng khỏe mạnh. Có những báo cáo cho thấy periostin hỗ trợ sự bám dính và di chuyển của bạch cầu ái toan ở người được kích thích bởi IL-5 và tình trạng viêm Th2 trong bệnh hen. Mặt khác, cũng các nghiên cứu khác cho thấy periostin đóng vai trò bảo vệ, thay vì vai trò có hại trong bệnh hen. Periostin điều chỉnh tích cực sản xuất TGF-β, thúc đẩy sự biệt hóa tế bào T điều hòa. Tế bào T được biệt hóa ức chế tình trạng viêm đường hô hấp cũng như việc sản xuất IgE.

2.4.2 Trong hen Th2 thấp
IL-17 được cho là đóng vai trò quan trọng trong hen Th2 thấp. Nồng độ IL-17 cao hơn được tìm thấy trong huyết thanh, đờm và dịch rửa phế nang (BALF) của bệnh nhân hen và có liên quan đến mức độ nặng của bệnh. Có một số loại tế bào tiết ra cytokine IL-17. Tế bào Th17 CD4+ là một trong những nguồn chính của IL-17. Vai trò của cytokine IL-17 trong hen vẫn đang được nghiên cứu. Các cytokine IL-17 có thể kích thích các tế bào biểu mô và nguyên bào sợi giải phóng các chất CXCL1/5/8 thu hút bạch cầu đa nhân trung tính và yếu tố kích hoạt bạch cầu hạt - đại thực bào, giúp tập trung bạch cầu đa nhân trung tính đến phổi. Hơn nữa, IL-17A, làm tăng co thắt cơ trơn đường thở, di chuyển và tăng sinh tế bào cơ trơn, tạo điều kiện làm tăng phản ứng đường thở (AHR) và tái tạo đường thở, là những đặc điểm chính của bệnh hen. Tuy nhiên, người ta đã đề xuất rằng các cytokine IL-17 rất quan trọng để duy trì tính toàn vẹn của biểu mô và các cytokine IL-17 có thể đóng vai trò bảo vệ chống lại bệnh hen (Hình 1.3).

3 BỆNH NGUYÊN
Điều gì làm khởi phát quá trình viêm ngay từ đầu và khiến một số người dễ bị tác động bởi tình trạng viêm là một lĩnh vực đang được nghiên cứu tích cực nhưng hiện vẫn chưa có câu trả lời chắc chắn. Những quan sát mới cho thấy nguồn gốc của bệnh hen chủ yếu xảy ra sớm trong cuộc đời. Bệnh hen là một quá trình bệnh lý thể hiện sự tương tác phức tạp giữa hai yếu tố chính: Yếu tố cơ thể chủ (hay cơ địa, đặc biệt là di truyền) và yếu tố phơi nhiễm môi trường xảy ra vào thời điểm quan trọng trong quá trình phát triển hệ thống miễn dịch (Hình 1.4). Các nghiên cứu đoàn hệ từ lúc sinh đã xác định được các yếu tố nguy cơ có thể thay đổi đối với bệnh hen và sức khỏe hô hấp ở trẻ em và người lớn, chứng minh vai trò và lộ trình mà qua đó các sự kiện thời thơ ấu ảnh hưởng không chỉ gây ra các hậu quả trên trẻ mà còn ảnh hưởng tới cả sức khỏe, bệnh tật và tỷ lệ tử vong khi đã trưởng thành.

3.1 Cơ địa (hay yếu tố cơ thể chủ)
3.1.1 Miễn dịch bầm sinh
Có vai trò rất đáng chú ý của các phản ứng miễn dịch bẩm sinh và thích nghi (hay thu được) liên quan đến cả sự phát triển và điều hòa tình trạng viêm. Đặc biệt, các nghiên cứu tập trung vào sự mất cân bằng giữa cấu hình cytokine Th1 và Th2 và đã có bằng chứng cho thấy các bệnh dị ứng và hen, được đặc trưng bởi sự chuyển dịch đáp ứng miễn dịch sang các bệnh dạng cytokine Th2 (Th2 cytokine-like), bằng biểu hiện quá mức Th2 hoặc biểu hiện dưới mức Th1. Viêm đường thở trong hen có thể biểu hiện bằng sự mất cân bằng bình thường giữa hai quần thể tế bào lympho Th “đối lập”: Th1 và Th2. Các tế bào Th1 sản xuất IL-2 và interferon-Y (IFN-y), đóng vai trò quan trọng trong cơ chế bảo vệ của tế bào để đáp ứng với nhiễm trùng. Ngược lại, Th2 tạo ra một họ cytokine (IL-4, -5, -6, -9 và -13) có thể làm trung gian cho tình trạng viêm dị ứng. “Giả thuyết vệ sinh” (“hygiene hypothesis”) minh họa cách mất cân bằng cytokine có thể giải thích sự gia tăng đáng kể về tỷ lệ mắc hen ở các nước phương Tây. Giả thuyết này dựa trên giả định rằng hệ thống miễn dịch của trẻ sơ sinh bị lệch về phía tạo ra cytokine Th2. Sau khi sinh, các kích thích từ môi trường như nhiễm trùng sẽ kích hoạt phản ứng Th1 và đưa mối quan hệ Th1/Th2 đến trạng thái cân bằng thích hợp. Bằng chứng chỉ ra rằng tỷ lệ mắc bệnh hen giảm đi khi kết hợp với một số bệnh nhiễm trùng nhất định (M. tuberculosis, sởi hoặc viêm gan A), tiếp xúc với những đứa trẻ khác (ví dụ: có anh chị em lớn hơn và đi nhà trẻ sớm) và sử dụng kháng sinh ít thường xuyên hơn. Việc không có môi trường với những điều kiện sống như trên có liên quan đến sự tồn tại của kiểu cytokine Th2. Trong những điều kiện như vậy, nền tảng di truyền của trẻ bị mất cân bằng cytokine đối với Th2 sẽ tạo tiền đề thúc đẩy sản xuất kháng thể IgE đối với các kháng nguyên quan trọng có trong môi trường sống, chẳng hạn như mạt bụi nhà, gián, nấm từ đó tạo ra tình trạng phản ứng quá mức theo hướng Th2 về sau. Tuy nhiên, lý do chính xác tại sao đường hô hấp của một số cá nhân dễ bị dị ứng vẫn chưa được xác định.
Cũng có vẻ như có sự tương tác qua lại giữa hai phân nhóm trong đó các cytokine Th1 có thể ức chế sự tạo ra Th2 và ngược lại. Viêm dị ứng có thể là kết quả của sự biểu hiện quá mức các cytokine Th2. Mặt khác, các nghiên cứu gần đây đã gợi ý khả năng mất cân bằng miễn dịch bình thường phát sinh từ tình trạng rối loạn cytokine trong đó hoạt động của Th1 trong bệnh hen bị giảm.
3.1.2 Yếu tố gen (di truyền)
Bệnh hen có cấu phần di truyền trong sinh bệnh học nhưng di truyền liên quan đến sự phát triển cuối cùng của hen vẫn là một bức tranh phức tạp và chưa được biết hoàn toàn. Cho đến nay, nhiều gen đã được tìm thấy có liên quan hoặc liên kết với sự xuất hiện của hen và một số đặc điểm của bệnh. Sự phức tạp của mối liên quan giữa gen và lâm sàng hen được ghi nhận bằng các liên kết với một số đặc điểm kiểu hình, nhưng không nhất thiết quyết định quá trình sinh bệnh học hoặc chính bản thân biểu hiện lâm sàng. Vai trò của di truyền học trong sản xuất IgE, phản ứng quá mức đường thở và điều hòa rối loạn chức năng do các chất trung gian viêm gây ra (như cytokine, chemokine và các yếu tố tăng trưởng) đã thu hút được nhiều sự chú ý. Ngoài ra, các nghiên cứu đang điều tra các biến thể di truyền có thể quyết định cách đáp ứng với điều trị. Sự liên quan của tình trạng đa hình thụ thể beta-adrenergic và thụ thể corticosteroid trong việc làm thay đổi đáp ứng với điều trị ngày càng được quan tâm nhưng việc áp dụng rộng rãi hiểu biết về các yếu tố di truyền vào thực tế vẫn còn hạn chế.
3.1.3 Giới tính
Trong giai đoạn đầu đời, tỷ lệ mắc bệnh hen cao hơn ở trẻ trai. Tuy nhiên, khi dậy thì, tỷ lệ giới tính thay đổi và bệnh hen chủ yếu xuất hiện ở phụ nữ. Y học chưa xác định được cụ thể giới tính và hormone sinh dục hoặc các hormone liên quan, có liên quan đến bệnh hen, nhưng chúng có thể góp phần vào sự khởi phát và sự tồn tại dai dẳng của bệnh (Hình 1.5).
3.2 Các yếu tố môi trường
Hai yếu tố môi trường chính, đã nổi lên như là yếu tố quan trọng nhất trong quá trình phát triển, sự tồn tại dai dẳng và có thể là mức độ nặng của bệnh hen, là: các chất gây dị ứng trong không khí và nhiễm trùng đường hô hấp do vi-rút. Ở cơ thể dễ bị tổn thương và tại thời điểm phát triển quan trọng (ví dụ: miễn dịch và sinh lý), cả nhiễm trùng đường hô hấp và chất gây dị ứng đều có ảnh hưởng lớn đến quá trình phát triển bệnh hen và khả năng tồn tại của bệnh. Rõ ràng là việc tiếp xúc với chất gây dị ứng, nhạy cảm với dị ứng và nhiễm trùng đường hô hấp không phải là các thực thể riêng biệt mà hoạt động tương tác trong quá trình phát triển bệnh hen (Hình 1.4).

3.2.1 Các dị nguyên
Vai trò của chất gây dị nguyên trong quá trình phát triển bệnh hen vẫn chưa được xác định hoặc làm sáng tỏ một cách đầy đủ, nhưng rõ ràng là rất quan trọng. Nhạy cảm và tiếp xúc với mạt bụi nhà, nấm, phấn hoa là những yếu tố quan trọng trong quá trình phát triển bệnh hen ở trẻ em. Các nghiên cứu ban đầu cho thấy rằng gàu động vật, đặc biệt là chó và mèo, có liên quan đến quá trình phát triển bệnh hen. Dữ liệu gần đây cho thấy ở một số trường hợp, việc tiếp xúc với chó và mèo ở giai đoạn đầu đời thực sự có thể bảo vệ trẻ khỏi quá trình phát triển bệnh hen. Yếu tố quyết định các kết quả đa dạng này vẫn chưa được xác định. Các nghiên cứu đánh giá tình trạng tiếp xúc với mạt bụi nhà và gián đã chỉ ra rằng có liên quan giữa tỷ lệ nhạy cảm và quá trình phát triển bệnh hen sau đó. Ví dụ, tiếp xúc với chất gây dị ứng từ gián, một chất gây dị ứng chính trong các khu dân cư nội thành, là nguyên nhân quan trọng gây nhạy cảm với chất gây dị ứng, một yếu tố nguy cơ phát triển bệnh hen. Ngoài ra, việc tiếp xúc với chất gây dị ứng có thể thúc đẩy tình trạng viêm đường hô hấp dai dẳng và dễ gây ra cơn cấp.
3.2.2 Nhiễm trùng đường hô hấp
Ở thời thơ ấu, một số loại vi-rút đường hô hấp có liên quan đến sự khởi phát hoặc phát triển bệnh hen. Trong giai đoạn đầu đời, vi-rút hợp bào hô hấp (RSV) và đặc biệt là vi-rút Parainfluenza gây ra viêm tiểu phế quản tương tự như nhiều đặc điểm của bệnh hen ở trẻ em. Một số nghiên cứu tiến cứu theo dõi dài hạn cho thấy trẻ sơ sinh nhập viện do nhiễm RSV cho thấy có khoảng 40% trong số này sẽ tiếp tục thở khò khè hoặc bị hen ở giai đoạn sau của thời thơ ấu. Nhiễm trùng Rhinovirus có triệu chứng trong giai đoạn đầu đời cũng đang nổi lên như các yếu tố nguy cơ gây thở khò khè tái phát. Mặt khác, cũng đã có bằng chứng chỉ ra rằng một số bệnh nhiễm trùng đường hô hấp ở giai đoạn đầu đời, bao gồm bệnh sởi và thậm chí cả RSV hoặc các bệnh nhiễm trùng vi-rút tái phát có thể bảo vệ chống lại sự phát triển của bệnh hen. “Giả thuyết vệ sinh”, như đã đề cập ở trên, cho rằng việc tiếp xúc với các bệnh nhiễm trùng từ sớm trong cuộc đời ảnh hưởng đến sự phát triển của hệ thống miễn dịch của trẻ theo con đường “không dị ứng”, dẫn đến giảm nguy cơ mắc bệnh hen và các bệnh dị ứng khác. Mặc dù giả thuyết vệ sinh vẫn đang được nghiên cứu và có thể giải thích mối liên hệ được quan sát thấy giữa quy mô gia đình lớn, thứ tự sinh sau, đi nhà trẻ và giảm nguy cơ mắc bệnh hen ở trẻ. Ảnh hưởng của các bệnh nhiễm trùng đường hô hấp do vi-rút đối với sự phát triển của bệnh hen có thể phụ thuộc vào sự tương tác với dị ứng. Tóm lại, trạng thái dị ứng có thể ảnh hưởng đến phản ứng của đường thở đối với các bệnh nhiễm trùng do vi-rút và các bệnh nhiễm trùng do vi-rút cũng có thể ảnh hưởng đến sự phát triển của tình trạng nhạy cảm với dị ứng.
Thực tế là việc nhạy cảm với nhiều chất gây dị ứng từ sớm trong đời có nguy cơ mắc bệnh hen cao nhất đặt ra câu hỏi về những yếu tố nào dẫn đến khuynh hướng mắc kiểu hình này. Mặc dù nhiễm Rhinovirus là nguyên nhân chính gây ra đợt cấp, nhưng ở những người có nguy cơ mắc bệnh hen về mặt di truyền, tình trạng thở khò khè do Rhinovirus gây ra trong ba năm đầu đời cũng là yếu tố nguy cơ lớn nhất gây ra bệnh hen ở 6 tuổi. Việc sản xuất IFN-P và -Ă qua trung gian TLR3 (toll-like receptor) bị suy yếu bởi các tế bào biểu mô bị hen sẽ khiến trẻ dễ bị nhiễm vi- rút và nhạy cảm với dị ứng. Việc giảm sản xuất IFN chính của các tế bào biểu mô đường hô hấp dưới cho phép một số loại vi-rút nhân lên, dẫn đến các tế gây bào gây độc giải phóng các sản phẩm gây viêm và tăng cường đào thải vi-rút. Những sự kiện như vậy tạo ra một kích thích mạnh mẽ gây thu hút các tế bào đuôi gai chưa trưởng thành và làm nền tảng cho quá trình nhạy cảm với chất gây dị ứng. Khi các tế bào biểu mô hen bị tổn thương do nhiễm Rhinovirus, các tế bào này tạo ra lượng lớn hơn cytokine pro-Th2 TSLP, kích thích các tế bào đuôi gai và làm tăng tình trạng viêm dị ứng trong khi đó IFN-P giúp biểu mô hen có tác dụng chống lại tác động của Th2 cũng như có các đặc tính kháng vi-rút lại bị giảm.
3.2.3 Các yếu tố môi trường khác
Khói thuốc lá, ô nhiễm không khí, nghề nghiệp và chế độ ăn uống cũng có liên quan đến nguy cơ mắc bệnh tăng cao, mặc dù mối liên quan này chưa được xác định rõ ràng như với các chất gây dị ứng và nhiễm trùng đường hô hấp. Tiếp xúc với khói thuốc lá thai nhi làm tăng khả năng thở khò khè ở trẻ sơ sinh, mặc dù sự phát triển sau đó của bệnh hen vẫn chưa được xác định rõ ràng. Ở người lớn bị hen, hút thuốc lá có liên quan đến việc tăng mức độ nặng của bệnh và giảm khả năng đáp ứng với corticosteroid dạng hít (ICS). Vai trò của ô nhiễm không khí trong sự phát triển của bệnh hen vẫn còn chưa thống nhất và có thể liên quan đến tình trạng nhạy cảm với dị nguyên. Một nghiên cứu dịch tễ học gần đây cho thấy tập thể dục nặng ngoài trời ở những cộng đồng có nồng độ ozone cao có liên quan đến nguy cơ mắc bệnh hen cao hơn ở trẻ em tuổi học đường. Có mối quan hệ giữa mức độ ô nhiễm và tình trạng gia tăng các cơn hen cần khám cấp cứu.
Một mối liên quan giữa giảm lượng hấp thu chất chống oxy hóa và a-xít béo omega-3 cũng đã được ghi nhận trong các nghiên cứu quan sát, nhưng sự liên hệ trực tiếp được xem là yếu tố gây bệnh còn chưa được xác định. Tỷ lệ béo phì tăng song song với tỷ lệ mắc bệnh hen nhưng mối quan hệ này vẫn chưa chắc chắn. Béo phì có thể là một yếu tố nguy cơ gây bệnh hen do sự hình thành các chất trung gian gây viêm đặc biệt dẫn đến rối loạn chức năng đường thở.
Tóm lại, sự tương tác giữa gen và môi trường là những yếu tố quan trọng trong sự phát triển tình trạng viêm đường thở và những thay đổi sinh lý phổi đặc trưng của bệnh hen.
4 BIẾN ĐỔI CẤU TRÚC VÀ TẮC NGHẼN CỐ ĐỊNH
Khò khè (wheeze), là tiếng thở ở phổi trong y văn Việt Nam gọi là tiếng ran rít hay ngáy, một âm thanh thường được tìm kiếm khi khám lâm sàng hen và thường bị hiểu sai. Tiếng thở này chỉ nên hiểu là có thu hẹp lòng đường thở. Nó không đồng nghĩa với co thắt cơ trơn phế quản. Nguyên nhân làm thu hẹp lòng đường thở bao gồm tiết dịch trong lòng đường thở, mềm đường thở có thể khu trú hoặc lan tỏa và đè ép từ bên ngoài (ví dụ như do khối hạch bạch huyết). Trong hen co thắt cơ trơn phế quản, tăng tiết và tái tạo cấu trúc (remodeling) là các yếu tố tham gia làm thu hẹp lòng đường thở. Trong trường hợp này, tiếng khò khè có đặc điểm lan tỏa, ít thay đổi sau khi ho và thường thay đổi nhanh khi sử dụng thuốc dãn phế quản tác dụng nhanh.
Tắc nghẽn luồng khí cố định nên được định nghĩa là FEV1 bất thường sau khi dùng thử corticosteroid toàn thân và dùng thuốc chủ vận beta2 tác dụng ngắn, nhưng không có sự thống nhất về liều lượng, thời gian hoặc đường dùng steroid toàn thân, cũng như liều lượng thuốc chủ vận beta2 tác dụng ngắn. Những thay đổi về cấu trúc thành đường thở ở bệnh hen đã được xác định, bao gồm tăng số lượng cơ trơn đường thở, dày màng nền lưới, tăng số lượng tế bào hình đài và tăng mạch máu đường thở. Các biến đổi này được xem là diễn biến bất lợi của phản ứng viêm trong hen. Tuy nhiên câu hói yêu tố nào thúc đây hiện tượng này vân chưa có câu trả lời chính xác. Những nghiên cứu theo dõi quỹ đạo thay đổi chức năng phổi (trajectories of lung function) theo thời gian cho thấy ở người hen và phơi nhiễm khói thuốc lá là nguy cơ để không đạt được mức ổn định chức năng phổi ở tuổi trưởng thành (20-25 tuổi) sẽ dẫn đến 26% nguy cơ mắc COPD so với 6% ở những người đạt được tăng trưởng chức năng phổi đầy đủ.

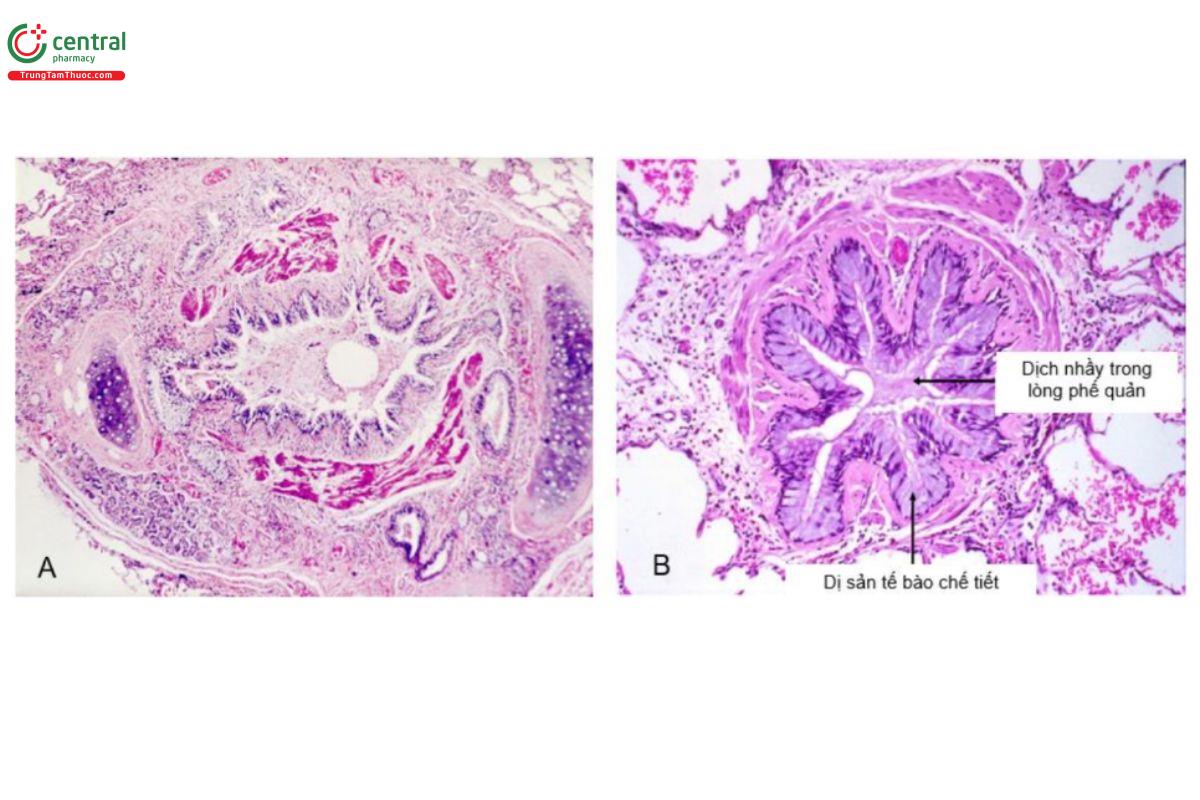
Nghiên cứu vi cấu trúc đường thở của bệnh nhân hen cho thấy có sự tích tụ quá mức các thành phần của cấu trúc nền ngoại bào (hay ma trận ngoại bào, extracellular matrix), đặc biệt là collagen, trong mô liên kết dưới biểu mô và lớp ngoài (adventitia) của thành đường thở. Các tương tác tế bào giữa tế bào mast và nguyên bào sợi thông qua thụ thể hoạt hóa protease-2 có thể góp phần vào sự tăng sinh bất thường của tế bào trung mô và có thể giải thích cho số lượng nguyên bào sợi và nguyên bào sợi cơ tăng lên được tìm thấy trong đường thở của người bị hen. Nguyên bào sợi vẫn giữ được khả năng tăng trưởng và tái tạo, và có thể tiến hóa thành nhiều loại tế bào khác nhau, bao gồm các tế bào cơ trơn sau đó trở thành nguyên bào sợi cơ. Các nguyên bào sợi cơ có thể góp phần vào quá trình tái tạo mô bằng cách giải phóng các thành phần của cấu trúc nền ngoại bào như Elastin, fibronectin và laminin. Người ta thấy rằng số lượng nguyên bào sợi cơ trong đường thở của những người bị hen tăng lên và số lượng của chúng dường như tương quan với kích thước của màng nền lưới. Các tế bào cơ trơn cũng có khả năng thay đổi thành phần của môi trường cấu trúc nền ngoại bào. Sự dày lên của màng lưới nền là một đặc điểm điển hình của đường thở của người bị hen. Nó dường như bao gồm sự lắng đọng dạng đám rối của các globulin miễn dịch, Collagen loại I và III, tenascin và fibronectin. Các quá trình tái cấu trúc của cấu trúc nền ngoại bào ít được biết đến hơn so với sự dày lên của lớp lưới. Hầu hết những người bị hen có mạng lưới sợi đàn hồi nông bất thường, với các sợi bị phân mảnh. Ở lớp sâu hơn, các sợi đàn hồi cũng bất thường, các sợi thường hay loang lổ, rối và dày lên. Một số nghiên cứu sử dụng kính hiển vi điện tử đã cho thấy quá trình phân hủy sợi trun xảy ra ở bệnh nhân hen. Trên những trường hợp tử vong, các phân mảnh của sợi trun cũng đã được tìm thấy ở đường thở trung tâm và có liên quan đến sự phá hủy cấu trúc đàn hồi rõ rệt. Trong cấu trúc nền ngoại bào, các bó sợi collagen bị phì đại và tăng số lượng đồng thời với tăng nguyên bào sợi cơ. Hậu quả làm mất lực đàn hồi của phổi đã được chứng minh ở người lớn mắc bệnh hen dai dẳng và tắc nghẽn luồng khí thở ra không hồi phục. Bệnh nhân hen dai dẳng có đường cong lưu lượng - thể tích bất thường khi thở ra ở cả thể tích phổi cao và thấp, và tình trạng tăng căng phồng có thể được nhìn thấy qua thể tích cặn, ở dung tích cặn gắng sức và dung tích phổi toàn phần, điều mà chúng ta thấy trong COPD (Hình 1.6).
5 KẾT LUẬN
Bệnh hen nhìn từ những hiểu biết mới không chỉ đơn thuần là bệnh dị ứng mà là một tình trạng bệnh không đồng nhất về cơ chế sinh bệnh. Như một bài viết đăng trên Lancet gần đây (năm 2018) về định nghĩa lại các bệnh đường hô hấp đã nhấn mạnh rằng “hen” nên được sử dụng để mô tả một hội chứng lâm sàng gồm thở khò khè, khó thở, tức ngực và đôi khi là ho. Bước tiếp theo trong quá trình tiếp cận bệnh là phân tích đường thở thành các thành phần của tắc nghẽn luồng khí cố định và thay đổi, viêm, nhiễm trùng và phản xạ ho thay đổi, đặt bệnh đường thở vào bối cảnh của các bệnh đi kèm ngoài phổi cũng như các yếu tố xã hội và môi trường. Nhìn từ góc độ sinh bệnh học trong hen, luôn cần tập trung vào việc phân định các đặc điểm có thể điều trị được, bao gồm tắc nghẽn luồng khí thay đổi do co thắt cơ trơn đường thở (được điều trị bằng thuốc chủ vận beta2 tác dụng ngắn và dài), viêm đường thở tăng bạch cầu ái toan (được điều trị bằng corticosteroid dạng hít) và nhiễm trùng do vi khuẩn mạn tính (điều trị bằng kháng sinh có lợi nếu nó là nguyên nhân gây ra bệnh). Điều quan trọng là không nên điều trị quá mức những bệnh không thể điều trị được, chẳng hạn như tắc nghẽn luồng khí cố định. Tất cả những tình trạng bệnh này đều có thể được xác định bằng các xét nghiệm đơn giản, không xâm lấn như đo chức năng hô hấp trước và sau khi dùng thuốc dãn phế quản (tắc nghẽn luồng khí có thể phục hồi), số lượng bạch cầu ái toan trong máu ngoại vi và đờm, oxit nitric trong khí thở ra (đi kèm tăng bạch cầu ái toan đường thở), nuôi cấy đờm hoặc dịch tiết đường thở (khi nghi ngờ có nhiễm khuẩn). Hiểu biết về sinh bệnh học hen và phân tích kiểu hình sẽ cho phép chẩn đoán chính xác hơn và điều trị có mục tiêu.
6 Tài liệu đọc thêm
1. Makoto Kudo et al. Pathology of asthma. Frontier in microbiology. www.frontiersin.org September 2013 | Volume 4 | Article 263.
2. National Heart, Lung, and Blood Institute. Expert Panel Report 3: Guidelines for the Diagnosis and Management of Asthma Full Report 2007
3. Global Initiative for Asthma. Global Strategy for Asthma Management and Prevention, 2024. Updated May 2024. Available from: www.ginasthma.org
4. John D. Blakey et al. Using an Eosinophil Count to Diagnose Asthma: Music to Your EARS?. Respirology, 2025; 0:1-3
5. Habib, N.; Pasha, M.A.; Tang, D.D. Current Understanding of Asthma Pathogenesis and Biomarkers. Cells 2022, 11, 2764. https://doi.org/10.3390/cells11172764
6. Tina Hartert et al. Understanding the childhood origins of asthma and chronic obstructive pulmonary disease: Insights from birth cohorts and studies across the life-span. J Allergy Clin Immunol 2025. Apr 17:S0091- 6749(25)00419-1.
7. Pavord ID, Beasley R, Agusti A, Anderson GP, Bel E, Brusselle G, et al. After asthma - redefining airways diseases. A Lancet commission. Lancet. (2018) 391:350-400. doi: 10.1016/S0140-6736(17)30879-6

