Dị dạng phình tĩnh mạch Galen (VGAM): Tổng quan cập nhật

TẢI PDF TẠI ĐÂY
Dị dạng phình tĩnh mạch Galen (VGAM) là một bất thường mạch máu nội sọ hiếm gặp ở các động mạch đám rồi mạch mạc, đặc trưng bởi sự tồn tại dai dẳng của tĩnh mạch trung gian phôi thai vùng trước não của Markowski (MProsV). Đây là tỉnh trạng thường gặp ở trẻ em với tỷ lệ tử vong và bệnh tật cao. Các biểu hiện lâm sàng liên quan đến VGAM bao gồm suy tim, não úng thủy và các triệu chứng thần kinh, khiến việc chẩn đoán trở nên khó khăn. Đồng thời, cấu trúc mạch máu phức tạp của VGAM, với sự đa dạng giữa các cá thể, làm cho việc quản lý tình trạng này trở thành thách thức đối với các bác sĩ lâm sàng. Do đó, chẩn đoán và điều trị kịp thời VGAM là rất quan trọng.
1 Giới thiệu
Dị dạng phình tĩnh mạch Galen (VGAM) là một dị dạng động tĩnh mạch nội sọ bẩm sinh hiểm gặp, hình thành do sự kết nối bất thường dạng rò giữa các mạch mạc đám rối nguyên thủy và phần gần nhất của tĩnh mạch trung nào trước của Markowski (MProsV). Tỷ lệ mắc được bảo cáo là 1/25.000, VGAM chiếm 1% các dị dạng mạch máu não và 30% các dị dạng mạch máu ở trẻ em. Về mặt lâm sảng, VGAM thường được chẩn đoán trong giai đoạn sơ sinh và thời thơ ấu sớm dựa trên các triệu chứng suy tim sung huyết và tăng áp lực nội sọ.
Steinheil đã mô tả lần đầu tiên kết nổi động tĩnh mạch nội sọ bất thường này như một 'phình tĩnh mạch vào năm 1895. Kể từ đó, nhiều thuật ngữ đã được sử dụng để mô tả tình trạng này, bao gồm "dị dạng tĩnh mạch Galen', 'hình thành phình tĩnh mạch Galen', 'phình động tĩnh mạch của tỉnh mạch Galen", và "phỉnh tĩnh mạch Galen". Tuy nhiên, những thuật ngữ này đều chưa chính xác vì dị dạng thực sự được gây ra bởi tĩnh mạch trung não trước (MProsV), chứ không phải tĩnh mạch Galen. Trường hợp VGAM thật sự được Boldrey và Miller báo cáo vào năm 1949. Thuật ngữ phình tĩnh mạch Galen' lần đầu được Jaeger và cộng sự đề xuất vào năm 1937. Theo hiểu biết hiện nay, tứ phỉnh cũng là một mô tả không chính xác. Tuy nhiên, xu hướng sử dụng này có phần tùy tiện, vì từ này bắt nguồn từ tiếng Hy Lạp aneurynein, nghĩa là 'giản nở. Do đó, việc sử dụng cụm từ "phỉnh tĩnh mạch vẫn hợp lý về mặt từ nguyên, thay vì bị xem là sai thuật ngữ.
Nút mạch nội mạch hiện được xem là lựa chọn điều trị hàng đầu. Một phân tích gặp do Yan và cộng sự thực hiện cho thấy tỷ lệ tử vong ở các bệnh nhân được nút mạch đã giảm từ 17% xuống còn 12% trong giai đoạn từ những năm 1980 đến những năm 2000. Tuy nhiên, việc điều trị vẫn còn nhiều thách thức.
2 Cơ chế bệnh sinh
Sự tồn tại dai dẳng của đường rò động tĩnh mạch giữa các mạch mạc đám rối nguyên thủy và tỉnh mạch trung não trước (MProsV) là cơ chế bệnh sinh chủ yếu của VGAM, xảy ra từ tuần thứ 6 đến tuần thứ 11 của thai kỳ, sau khi vòng tuần hoàn Willis được hình thành (Hình 1). Phần sau của MProsV sẽ tồn tại và phát triển thành tĩnh mạch Galen, trong khi phần trước thoái triển song song với quá trình hình thành các tĩnh mạch não trong. Phần còn lại của MPros V sau đó kết nối với các tĩnh mạch nào trong để tạo thành tĩnh mạch Galen, và điều này có thể dẫn đến sự tồn tại của kết nối giữa VGAM và hệ tĩnh mạch sâu. Raybaud và Strother là những người đầu tiên xác định cầu trúc tĩnh mạch giản này chính là MProsV. Kết nối động tĩnh mạch giữa các mạch mạc đám rối nguyên thủy và MProsV gây ra những bất thường huyết động, dẫn đến cản trở quá trình thoải triển sinh lý của tĩnh mạch phôi và sự hình thành tĩnh mạch Galen. Sau đó, sự kết nối động tĩnh mạch có lưu lượng cao làm tăng áp lực tĩnh mạch và gây giân phình MProsV. Ngoài ra, hẹp các xoang màng cứng cũng là một nguyên nhân khác gây giãn, do dòng chảy nhanh và xoáy mạnh tạo ra bởi kết nối động tĩnh mạch.

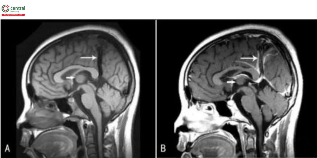
Sự dẫn lưu của dị dạng hướng về xoang thẳng, và cũng có thể dẫn lưu vào xoang dọc trên thông qua xoang liểm tổn tại, trong trường hợp này, xoang thắng sẽ bị thiểu, kém phát triển hoặc hẹp. Các trường hợp VGAM có xoang liềm tồn tại đã từng được chúng tôi bảo cáo trước đây (Hình 2). Dị dạng động tĩnh mạch được cấp máu bởi nhiều mạch nuôi khác nhau, bao gồm mạng dưới màng ổng nội tủy có nguồn gốc từ vòng Willis phía sau, các động mạch xuyên đổi thị, các động mạch mạch mạc, và cung động mạch hệ viền. Dị dạng này nằm trong bể velum interpositum cũng như bể củ não, và theo quan niệm truyền thống, không có kết nối giữa dị dạng và hệ tĩnh mạch sâu. Tuy nhiên, lý thuyết này đã bị thách thức trong các báo cáo gần đây. Trong các nghiên cứu này, sự dẫn lưu của dị dạng vào hệ tĩnh mạch sâu đã được xác nhận bằng hình ảnh theo dõi, bao gồm tĩnh mạch não trong, xoang thăng, xoang liểm, tĩnh mạch đáy Rosenthal và xoang dọc dưới.
Tính nhạy cảm di truyền đổi với VGAM vẫn chưa được làm rõ, tuy nhiên đã có một số gen tiểm năng được báo cáo có liên quan đến tình trạng này. Revencu và cộng sự xác định đột biến gen RASAI ở hai bệnh nhân mắc VGAM. Chida và cộng sự báo cáo một biến thể của gen ACVRLI ở một trường hợp VGAM. Tsutsumi và cộng sự công bố một bệnh nhân VGAM mang đột biến gen ENG mã hóa endoglin; bệnh nhân này có tiền sử gia đình mắc chứng giãn mạch xuất huyết di truyền, và các tác giả giả thuyết rằng gen này có thể liên quan căn nguyên đến VGAM. Ngoài ra, Xu và cộng sự báo cáo một trường hợp VGAM mang tính gia đình ở một bệnh nhân nữ trưởng thánh mắc VGAM, người từng có thai lưu do VGAM. Tuy nhiên, mối liên hệ giữa yếu tố di truyền và VGAM vẫn cần được nghiên cứu thêm.

3 Phân loại
3.1 Dị dạng phình tĩnh mạch Galen (VGAM)
Phân loại đầu tiên của VGAM được Litvak và cộng sự đề xuất vào năm 1960. Hiện có hai hệ thống phân loại được chấp nhận rộng rãi nhất, lần lượt do Lasjaunias và Yasargil mô tả (Bảng 1). Dựa trên độ tuổi khi biểu hiện bệnh và kiến trúc mạch máu của các lỗ rò, Lasjaunias và cộng sự chia VGAM thành hai loại: loại đám rối mạch mạc và loại thành mạch (Hình 3). Loại đám rối mạch mạc là loại phổ biến nhất, chiếm 56-76% tổng số VGAM và gặp nhiều hơn ở nam giới. Loại này chủ yếu xuất hiện ở trẻ sơ sinh, đặc trưng bởi suy tim sung huyết do lỗ rỏ có lưu lượng cao. Ở loại đám rồi mạch mạc, nhiều mạch nuôi động mạch tạo thành một tổ rò vào mặt trước của MPros V. Các mạch nuôi chủ yếu xuất phát từ các động mạch mạch mạc, bao gồm động mạch mạch mạc trước và sau, động mạch nào trước, cũng như đôi khi là các động mạch quadrigeminal và xuyên đồi thị.
Ở loại thành mạch, một hoặc nhiều lỗ rò động tĩnh mạch (AVF) dẫn lưu vào mép dưới bên của thánh MProsV với lưu lượng thấp hơn. Các mạch nuôi động mạch xuất phát từ động mạch quadrigeminal don hoặc hai bên và các động mạch mạch mạc sau. Về mặt lâm sàng, loại này thường gặp ở trẻ nhỏ và trẻ em, đi kèm với các triệu chứng đầu to, não úng thủy và chậm phát triển. Do lưu lượng chậm và ít lỗ rò, loại này có tiên lượng tốt hơn, và tình trạng huyết khối cũng phổ biến hơn so với loại đám rối mạch mạc.
Table 1 Classification of VGAM
| Lasjaunias' classification | Yasargil's classification |
Mural type | Type I |
Choroidal type | Type II |
| Type III | |
| Type IV (type IVA, type IVB, type IVC) |
Abbreviation: VGAM, vein of Galen aneurysmal malformation.
Yasargil phân loại VGAM thành bốn loại dựa trên việc dị dạng là một lỗ rò động tĩnh mạch thuần tủy (AVF, các loại I-III) hay là một dị dạng động tĩnh mạch (AVM) có hoặc không có lỗ rỏ đi kèm (các loại IVA-C), và nguồn gốc chính xác của các mạch nuôi. Loại 1 là một AVF thuần túy giữa động mạch nào sau (P4 và các nhánh của nó), động mạch quanh thể trai trước hoặc sau, và tĩnh mạch Galen. Loại II là kết nối rò giữa các động mạch xuyên đồi thị (thân nền và đoạn P1) và tĩnh mạch Galen. Loại III là sự kết hợp của loại 1 và II, là loại phổ biến nhất. Loại IV gồm ba tiểu loại Loại IVA tương tự loại IVB. Cả hai loại IVA và IVB đều là giân phình tĩnh mạch Galen do dòng rỏ từ một AVM liền kề ở đổi thị (IVA) hoặc trung não (IVB). Loại IVC là dị dạng lưới đồi-trung não hoặc trung-đồi não kèm theo một AVF cisternal liền kề nhưng tách biệt nổi với tĩnh mạch Galen. Mặc dù phân loại của Yasargil là cổ điển và được công nhận rộng rãi, nhưng vẫn có một số hạn chế. Phân loại này không bao gồm các biểu hiện lâm sàng và kết quả tiên lượng.

3.2 Giãn phình tĩnh mạch Galen
Giãn phình tĩnh mạch Galen (VGAD) là tình trạng giãn tĩnh mạch Galen thực sự, xuất hiện do dẫn lưu từ một dị dạng động tĩnh mạch (AVM) vào tĩnh mạch Galen thật sự, thay vì vào tiền thân của tĩnh mạch Galen. VGAD thuộc nhóm AVM màng cứng. Khác với VGAM, đây là dị dạng thật sự của tĩnh mạch Galen và có liên hệ với hệ tĩnh mạch sâu. Nguồn cấp máu động mạch bao gồm động mạch cảnh trong, các nhánh màng não của động mạch cánh trong và ngoài, xoang bình thường, dòng dẫn lưu từ tĩnh mạch Galen vào nhu mô não, và AVM trung nào hoặc đồi não. Dựa trên nguồn máu bất thường, VGAD có thể được phân biệt thành: (1) loại đặc, (2) loại giãn tĩnh mạch, và (3) loại màng cứng. Theo vị trí lỗ rò của VGAD, lizuka và cộng sự đề xuất một phân loại giải phẩu mới, gồm: (1) loại não thất, (2) loại cisternal, và (3) loại nhu mô
3.3 Giãn tĩnh mạch Galen (Vein of Galen Varices)
Giãn tĩnh mạch Galen là tình trạng giãn tĩnh mạch Galen mà không có đường rò động tĩnh mạch. Ở trẻ em, có hai loại giãn tĩnh mạch Galen. Loại thứ nhất là giãn tạm thời của tĩnh mạch Galen kèm theo suy tim do nguyên nhân khác. Loại này thường không có triệu chứng và chức năng tìm được cải thiện khi giãn tĩnh mạch biến mất. Loại thứ hai xảy ra khi toàn bộ bản cầu não dẫn lưu vào hệ tĩnh mạch sâu. Loại này cũng không có triệu chứng, nhưng có thể gây ra rối loạn thiếu máu tĩnh mạch do dẫn lưu tĩnh mạch không đầy đủ.
4 Biểu hiện lâm sàng
Các biểu hiện lâm sàng thay đổi tùy theo độ tuổi khởi phát và kiến trúc mạch máu. Các triệu chứng chính bao gồm suy tim sung huyết, nào ủng thủy và các triệu chứng thần kinh.
Năm 1964, Gold và cộng sự đề xuất một phân loại lâm sảng dựa trên độ tuổi khỏi phát, bao gồm nhôm sơ sinh, trẻ nhũ nhỉ, cũng như trẻ em và người trẻ tuổi. Ở trẻ sơ sinh, biểu hiện lâm sảng chủ yếu là suy tim sung huyết nghiêm trọng. Tiên lượng cực kỳ xấu với tỷ lệ tử vong cao, và loại đám rồi mạch mạc là phổ biến ở nhóm này. Trong giai đoạn nhũ nhi, các biểu hiện lâm sàng chủ yếu bao gồm não úng thủy, đầu to, co giật, chậm phát triển, và suy tim nhẹ. Các cơ chế gây não úng thủy bao gồm tăng áp tĩnh mạch, giảm tái hấp thu dịch não tủy, và chèn ép. Loại thành mạch thường gặp ở nhóm này. Ở trẻ em và người trẻ tuổi, các triệu chứng gồm đau đầu, não úng thủy, co giật, rối loạn thần kinh, và xuất huyết dưới nhện. Cả loại đám rối mạch mạc và loại thành mạch đều được quan sát ở nhóm này. Ngoài ra, một số biểu hiện lâm sàng hiếm gặp đã được báo cáo trong tài liệu, bao gồm galactosemia, rối loạn vận động, sưng cổ bên phải theo nhịp mạch do động mạch cảnh ngoằn ngoèo và giãn tĩnh mạch cổ hai bên, hẹp bóng tĩnh mạch cảnh, giãn tĩnh mạch da đầu, và sa amiđan. Tuy nhiên, mối liên hệ giữa các biểu hiện lâm sảng này với VGAM vẫn cần được xác nhận thêm.
Ngoài ra, Lasjaunias và cộng sự đã đề xuất hệ thống điểm đánh giá sơ sinh Bicêtre, bao gồm các chức năng thần kinh, tim, hô hấp, thận và gan (Bảng 2). Hệ thống này giúp ước lượng tổng thể các triệu chứng của bệnh nhân VGAM và hỗ trợ trong việc đưa ra quyết định điều trị. Điểm dưới 8 cho thấy tiên lượng xấu và cần điều trị theo dõi thận trọng. Điều trị nội mạch khẩn cấp được khuyến nghị đối với điểm từ 8 đến 12. Nút mạch có thể trì hoãn đến khi trẻ được 5 tháng tuổi nếu điểm từ 13 đến 21. Ngoài ra, đánh giá trạng thái thần kinh – nhận thức có thể được thực hiện bằng các bài kiểm tra Denver và Brunet-Lézine.
5 Hình ảnh học
VGAM là một trong những bệnh thường được chẩn đoán trước sinh, với tỷ lệ khoảng 40%. Tuy nhiên, một phân tích hồi cứu trên 25 bệnh nhân VGAM do Geibprasert và cộng sự thực hiện cho thấy không có mối liên quan giữa chẩn đoán sớm trước sinh và kết quả theo dõi sau này. Nhưng việc chẩn đoán trước sinh vẫn hỗ trợ trong việc lập kế hoạch điều trị và chuẩn bị cơ sở vật chất.
Chẩn đoán trước sinh thường được thực hiện trong tam cá nguyệt thứ ba của thai kỳ bằng siêu âm, dựa trên việc quan sát một cấu trúc hình tròn hoặc bầu dục giảm âm hoặc mất âm với viền đều, nằm ở đường giữa của phần sau thất não ba. Dị dạng cần giản đủ lớn mới có thể phát hiện được bằng siêu âm ở tam cá nguyệt thứ nhất hoặc thứ hai, và việc xác nhận chẩn đoán trước sinh thường được thực hiện bằng siêu âm Doppler màu và cộng hưởng từ (MRI).
Có một phân loại VGAM trước sinh, bao gồm VGAM đơn độc, khi VGAM là biểu hiện duy nhất, và VGAM kết hợp, khi VGAM đi kèm với các bất thường tim và thần kinh. Tuy nhiên, phân loại này có thể bị xem xét lại trong các nghiên cứu tương lai. Việc đình chỉ thai kỳ nên được thực hiện khi xuất hiện phù thai và suy tim nghiêm trọng ở thai nhi.
Table 2 Bicêtre neonatal evaluation score22
| Points | Cardiac function | Cerebral function | Respiratory function | Hepatic function | Renal function |
| 5 | Normal | Normal | Normal | - | - |
| 4 | Overload, no medi-cal treatment | Subclinical, isolated EEG abnormalities | Tachypnea, finishes bottle | - | - |
| 3 | failure, stable with medical treatment | Nonconvulsive inter-mittent neurological signs | Tachypnea, does not finish bottle | No hepatomegaly, normal hepatic function | Normal |
| 2 | Failure, not stable with medical treatment | Isolated convulsion | Assisted ventilation, normal saturation FIO2 < 25% | Hepatomegaly, normal hepatic function | Transient anuria |
| 1 | Ventilation necessary | Seizures | Assisted ventilation, normal saturation FIO2 > 25% | Moderate or transi ent hepatic insufficiency | Unstable diuresis with treatment |
| 0 | Resistant to medi cal therapy | Permanent neurologi cal signs | Assisted ventilation, desaturation | Abnormal coagula tion, elevated enzymes | Anuria |
Abbreviations: EEG, electroencephalogram; FIO2, fractional inspired oxygen
Maximal score = 5 (cardiac) + 5 (cerebral) + 5 (respiratory) + 3 (hepatic) + 3 (renal) = 21.
Source: Reproduced with permission from Lasjaunies et al.22

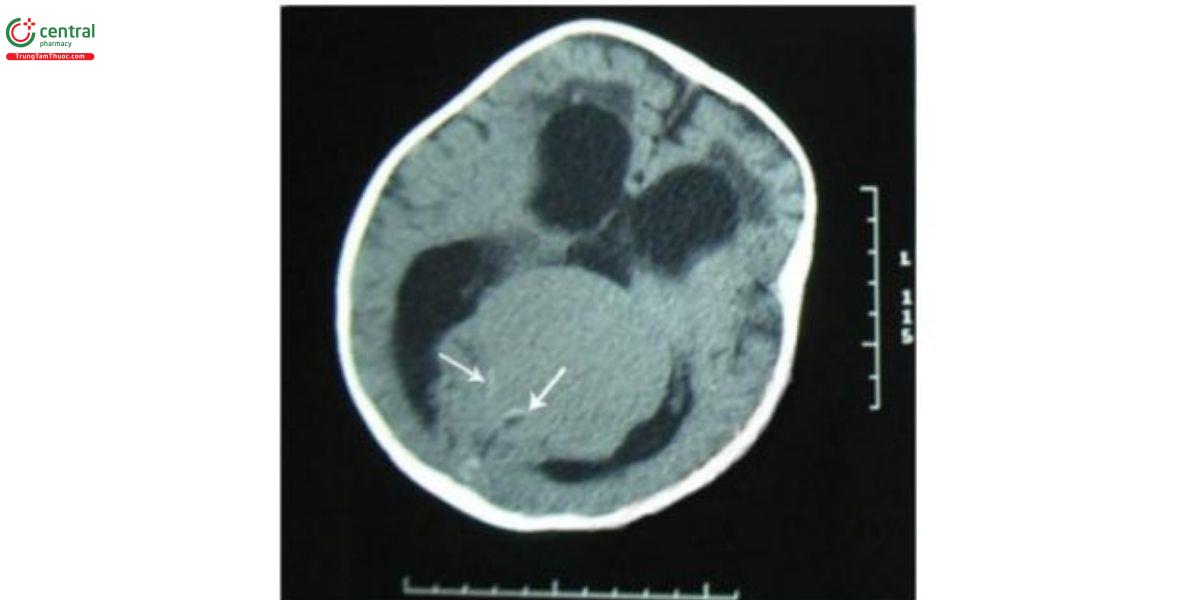
Huyết khối tự phát trong VGAM là hiểm và cơ chế vẫn chưa được hiểu đầy đủ. Có nhiều yếu tố được mô tả, bao gồm thay đổi huyết động (dòng chảy chậm, tăng áp lực hoặc nhiều loạn), co mạch, tăng sinh mạch, và các thay đổi xơ vữa thoái triển trong mạch máu. Dẫn lưu thất và việc sử dụng thuốc cản quang trong chụp mạch cũng được cho là có liên quan đến huyết khối trong VGAM. Các phương pháp hình ảnh có thể mô tả rõ các đặc điểm của huyết khối. Trên CT, có thể thấy tin hiệu không đồng nhất, đôi khi kèm theo vôi hóa. CT cản quang cho thấy huyết khối trung tâm và dòng máu tuần hoàn quanh thành túi, được gọi là "target sign", MRI của VGAM có huyết khối cho thấy methemoglobin ngoại bào ở phần trung tâm và hemosiderin ở phần ngoại vi của tôn thương.
6 Quản lý điều trị
Mục tiêu điều trị thay đổi tùy theo độ tuổi khởi phát. Ở trẻ sơ sinh, mục tiêu chủ yếu là điều chỉnh suy tim, trong khi ở trẻ lớn hơn, mục tiêu là cải thiện các triệu chứng thần kinh. Người ta khuyến nghĩ rằng kết quả điều trị nên nhằm đào ngược các ảnh hưởng sinh lý bệnh lý do dị dạng động tĩnh mạch gây ra, thay vì đạt được hình thái bình thường hoàn toàn. Việc quản lý VGAM bao gồm kết hợp các phương pháp phẫu thuật, điều trị nội mạch, xạ phẩu và điều trị bảo tồn. Nút mạch nội mạch là phương pháp điều trị ưu tiên, trong khi các phương pháp khác được xem là điều trị bổ trợ khỉ việc nút mạch bị hạn chế.
.jpg)

7 Phẫu thuật và Xạ phẫu
Mặc dù phương pháp phẩu thuật được sử dụng rộng rãi, việc cắt bỏ hoàn toàn và kẹp mạch máu vẫn là thách thức với tỷ lệ biến chứng và tử vong cao. Các vấn đề liên quan đến phẫu thuật bao gồm vị trí sâu, lỗ rò lưu lượng cao, kiến trúc mạch phức tạp và khả năng chịu đựng kém ở trẻ sơ sinh. Do đó, phẩu thuật thường được coi là phương pháp bỏ trợ khi nút mạch thất bại. Ngoài ra, dẫn lưu não thất có thể làm tăng áp lực tĩnh mạch não và thiếu máu não do thay đổi dần lưu tĩnh mạch. Do đó, dẫn lưu não thất nên được thực hiện sau khi nút mạch. Tương tự, phương pháp xạ phẫu Gamma Knife cũng là một lựa chọn bổ trợ vì nó không làm giảm kích thước tổn thương ngay lập tức.
8 Điều trị nội mạch
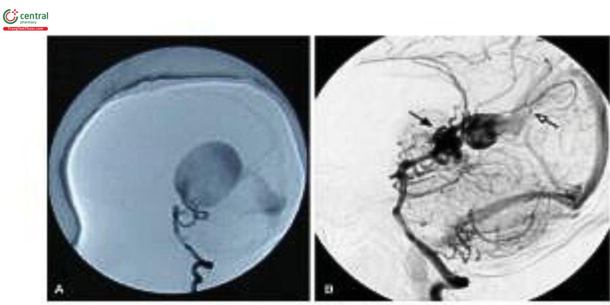
Trường hợp đầu tiên được điều trị bằng nút mạch được Davis báo cáo vào năm 1950. Với sự phát triển của điều trị nội mạch, tỷ lệ tử vong đã giảm từ 60-82% xuống còn 11%. Mục tiêu của điều trị nội mạch là giảm dòng rò nội sọ hoặc thậm chí bịt tắc tất cả các lỗ rò (Hình 7). Thực tế, việc bịt tắc hoàn toàn không cần thiết, vì giảm khoảng một phần ba đến một nửa dòng rò là đủ để cải thiện các triệu chứng lâm sảng. Gần đây, một phân tích gộp cho thấy các biến chứng chính của điều trị nội mạch bao gồm thùng mạch não, chảy máu, thiều máu não, não úng thủy và thiều màu chỉ dưới. Việc phòng ngừa biến chứng phụ thuộc vào kỹ thuật nút mạch siêu chọn lọc đúng cách, lựa chọn vật liệu nút mạch và kỹ thuật chính xác, cũng như bảo tồn dẫn lưu tĩnh mạch não sâu bình thường. Ngoài ra, sự tồn tại của dẫn lưu bình thường giữa hệ tĩnh mạch sâu và VGAM cần được xem xét trước khi nút mạch để tránh các tác động bất lợi lên mạch máu não bình thường sau khi điều trị nội mạch. Mặc dù khó quan sát qua chụp mạch hoặc hình ảnh không xâm lấn, có thể do các yếu tố kỹ thuật và huyết động, dẫn lưu bình thường vẫn là yếu tố quan trọng trong kế hoạch điều trị.
Có hai phương pháp nút mạch, bao gồm đường động mạch và đường tĩnh mạch, trong đó đường động mạch được ưu tiên. Đường động mạch rồn có thể được sử dụng để nút mạch trong giai đoạn sơ sinh sớm, và động mạch đùi là lựa chọn thay thế khi động mạch rồn không khả dụng. Đối với đường tĩnh mạch, vẫn còn tranh cãi về kết quả của nút mạch đường tĩnh mạch. Trong các tài liệu trước đây, phương pháp này được coi là không khả thi do tăng biến chứng. Tuy nhiên, trong nghiên cứu gần đây, Orlov và cộng sự cho rằng đây là một phương pháp cứu vẫn an toàn và hiệu quả cho VGAM khí tiếp cận đường động mạch bị hạn chế. Ngoài ra, Meila và cộng sự mô tả một phương pháp kết hợp đường tĩnh mạch và động mạch, gọi là kỹ thuật "kissing microcatheter". Phương pháp này được xem là an toàn, với tỷ lệ biến chứng thấp và cải thiện kết quả tổng thể, đặc biệt ở trẻ sơ sinh có suy tim sung huyết. Các vật liệu nút mạch bao gồm cuộn coil, microballoon, N-butyl-cyanoacrylate (NBCA), Dung dịch Onyx, và copolymer ethylene vinyl alcohol. Ở loại đảm rối mạch mạc của VGAM, Onyx được khuyến nghị nhờ ưu điểm bịt tắc chắc chắn và ổn định hơn. Ở loại thành mạch, NBCA là vật liệu nút mạch được ưa chuộng do đặc tỉnh kết tủa nhanh và bám dính vào mạch. Ngoài ra, Joo và công sự lần đầu tiên báo cáo một bệnh nhân VGAM loại thành mạch được điều trị thành công bằng hệ thống Micro Vascular Plug, đây có thể là một lựa chọn tiểm năng
Phương pháp nút mạch theo giai đoạn được khuyến nghị để giảm thiểu các biến chứng. Khoảng thời gian giữa các giai đoạn thưởng là 3-6 tháng. Có một hệ thống phân loại điểm mới để quyết định điều trị được Mortazavi và cộng sự đề xuất, kết hợp các mạch nuôi động mạch với các triệu chứng lâm sảng và độ tuổi (Bảng 3). Nút mạch không khẩn cấp, và một lần nút mạch được khuyến nghị cho bệnh nhân có điểm 0-1. Nút mạch khẩn cấp và nhiều giai đoạn điều trị được đề xuất khi điểm là 2. Nút mạch theo nhiều giai đoạn hoặc điều trị giảm nhẹ được khuyến nghị cho bệnh nhân có điểm 3.
Table 3 New classification system proposed by Mortazasi et al25
Score | ||
| Parameter | 0 | 1 |
| Arterial feeders | Any feeders other than PI-2. thalamoperforators, choroidal, basilar | Any of the following feeders: PI-2 thalamoperforators, choroidal, basilar |
| Clinical symptoms | No heart failure | Heart failure |
| Age | ≥ 5 months | < 5 months |
Alvarez và cộng sự (Bảng 2) cho biết: một điểm trên 12 cho thấy các triệu chứng lâm sàng ổn định và tốt hơn nên kéo dài điều trị đến khi trẻ được 5-6 tháng tuổi. Nút mạch nội mạch được khuyến nghị khi điểm nằm trong khoảng 8-12. Không có chỉ định nút mạch khi điểm dưới 8.
VGAD là sự giãn bệnh lý của tĩnh mạch Galen do hẹp hoặc tắc dòng chảy ra. Mức độ giản thay đổi tùy theo mức độ hẹp. Do đó, điều trị VGAD lưu lượng cao chủ yếu là nút mạch hoặc xạ trị định vị. Với VGAD mức độ thấp, nút mạch nội mạch là phương pháp điều trị chính. VGAD có tiên lượng tốt hơn so với VGAM, vì VGAM có tỷ lệ bệnh tật và từ vong cao do suy tìm lưu lượng cao khó điều trị và tổn thương thần kinh. Đối với giãn tĩnh mạch Galen, nguy cơ xuất huyết thấp hơn và kết quả tốt hơn. Hậu quả bất lợi có thể xảy ra do phẫu thuật hoặc can thiệp không phù hợp. Điều trị bảo tồn được khuyến nghị cho bệnh nhân có triệu chứng ổn định, và theo dõi sát bằng các phương pháp hình ảnh học là rất cần thiết.
9 Tiên lượng
Nếu không được điều trị, hơn 90% bệnh nhân VGAM tử vong trong giai đoạn sơ sinh và nhũ nhỉ. Một phân tích gộp về kết quả và biển chứng của nút mạch nội mạch trong VGAM cho thấy tỷ lệ kết quả tốt đã tăng từ 49% lên 70% từ những năm 1980 đến những năm 2000. Tuy nhiên, tỷ lệ bệnh tật và tử vong vẫn rất cao. Có một số yếu tố liên quan đến kết quả lâm sảng, bao gồm kỹ thuật nút mạch, biểu hiện lâm sàng (suy đa cơ quan và triệu chứng thần kinh) và các phát hiện hình ảnh (tiêu não lan tỏa, lấy máu động mạch, või hỏa nhu mô, và các lỗ rò đa mạch lưu lượng cao). Ngoài ra, loại đám rồi mạch mạc của VGAM có tiên lượng xấu hơn so với loại thành mạch. Agarwal và cộng sự phân tích hồi cứu 36 bệnh nhân VGAM và kết luận rằng hẹp tĩnh mạch cảnh có liên quan đáng kể đến tiên lượng xấu. Một tổng quan hệ thống do Yan và cộng sự thực hiện cho thấy kết quả tốt ở bệnh nhân có huyết khối tự phát sớm, trong khi tiên lượng xấu ở các giai đoạn muộn của VGAM với huyết khối tự phát.
Di chứng chính của VGAM là suy giảm thần kinh vĩnh viễn kèm theo khuyết tật trí tuệ và động kinh. Đánh giá kết quả điều trị ở bệnh nhân VGAM có thể được thực hiện bằng hệ thống điểm nhập viện và điểm kết quả của Bicêtre do Lasjaunias và cộng sự đề xuất (Bảng 4). Hệ thống điểm này giúp ước lượng hiệu quả điều trị lâm sàng, góp phần điều chỉnh phương pháp điều trị, và nâng cao mức độ quản lý VGAM.
Tiên lượng của VGAM ở người lớn tốt hơn so với trẻ em, và loại thành mạch liên quan đến kết quả tốt hơn so với loại đám rối mạch mạc.
Table 4 Bicetre admission and outcome score22
| Score | Condition |
5 | Normal (N) |
4 | Minimal non-neurological symptoms, not treated (MS), and/or asymptomatic enlargement of the cardiac silhouette |
3 | Transient neurological symptoms, not treated (TNS), and/or asymptomatic cardiac overload under treatment |
2 | Permanent minor neurological symptoms, mental retardation of up to 20%, nonperma nent neurological symptoms under treatment (MNS), normal school with support, and/or cardiac failure stabilized with treatment |
| 1 | Severe neurological symptoms, mental retardation of more than 20% (SNS), specialized school and/or cardiac failure unstable despite treatment |
| 0 | Death(D) |
Note: Does not apply to neonates
Source: Reproduced with permission from Lasjaunias et al.22

